Countries
Contact
Newsletter
Shop now
Be part of it
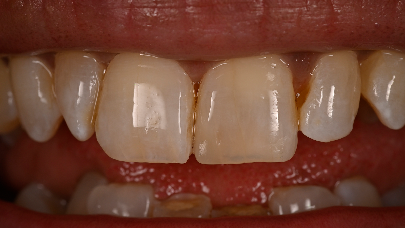
Case of the month

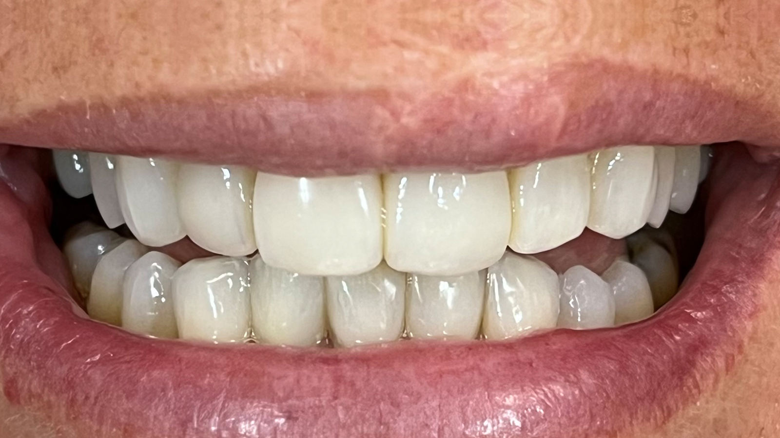
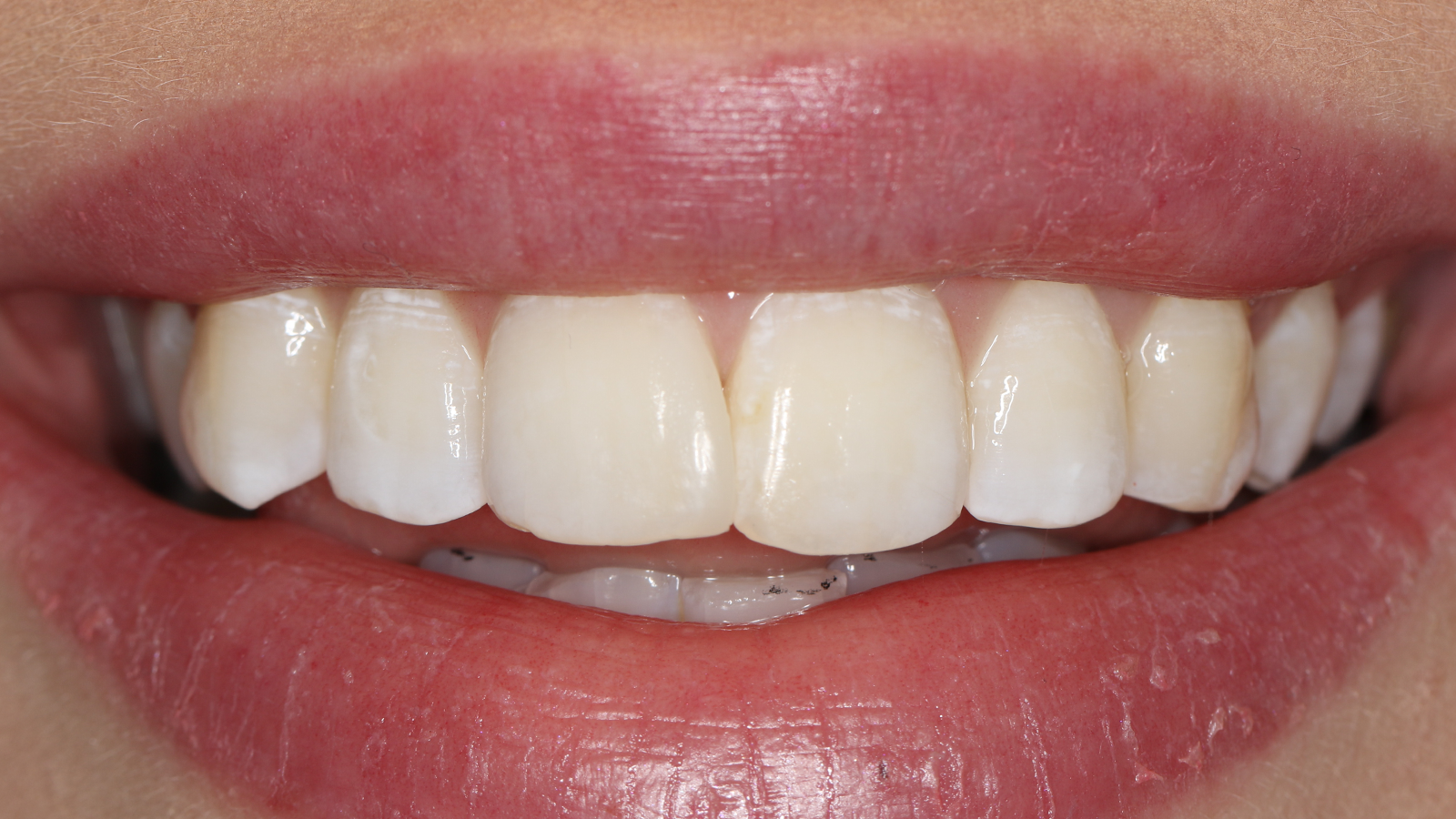
One more fascinating case with the new Venus Diamond Flow Pure Shades

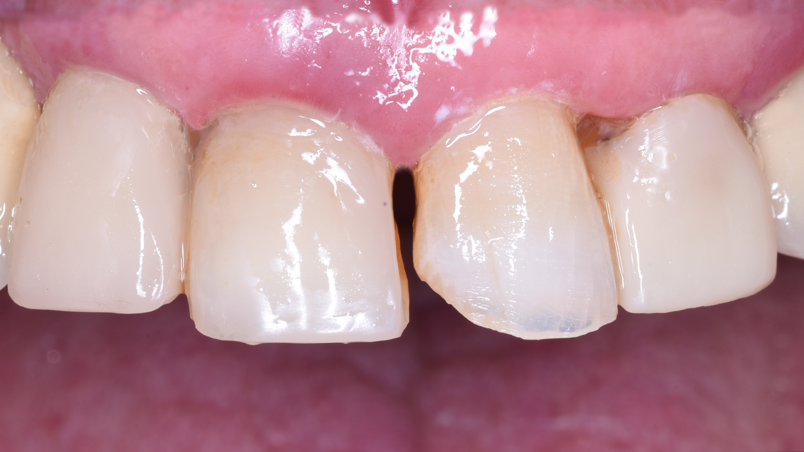
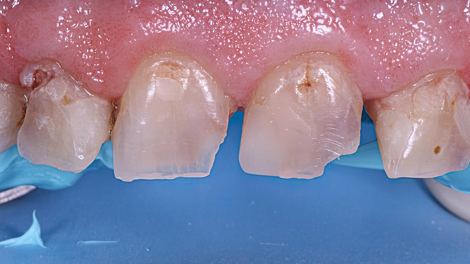
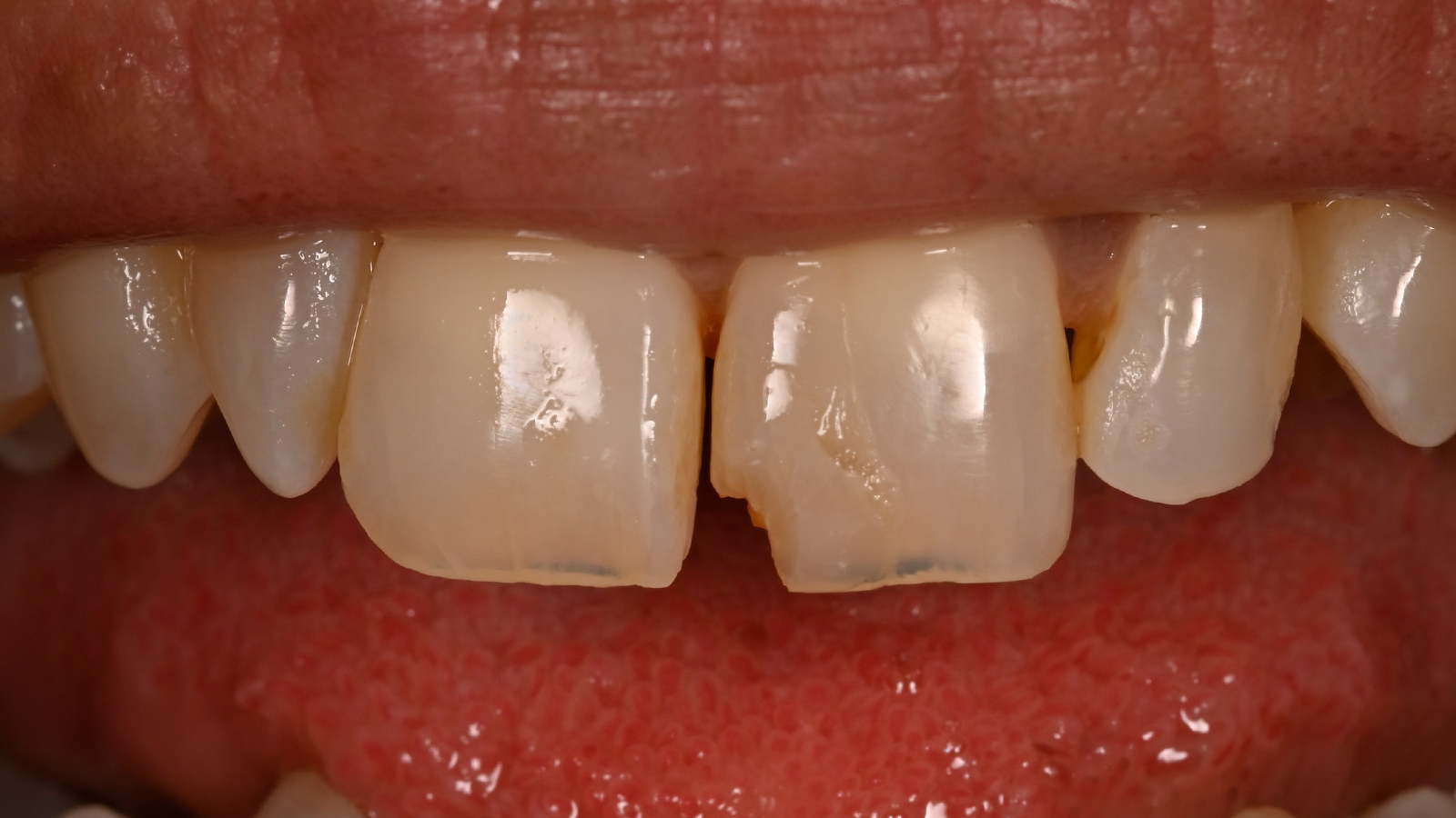
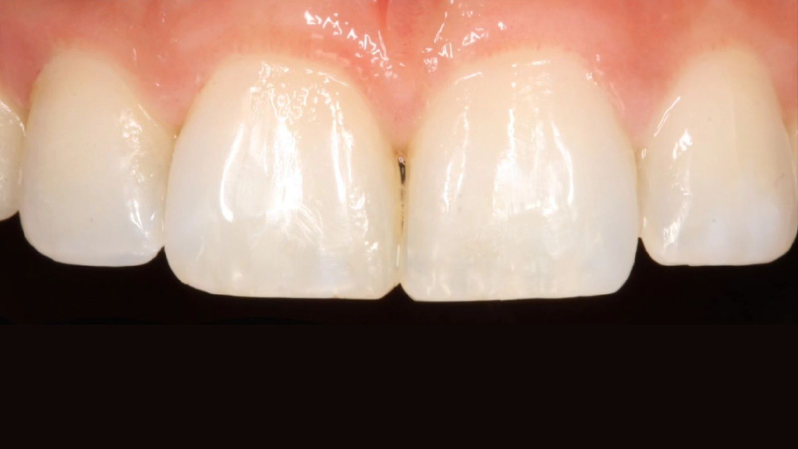
Look at this restoration of cervical lesions in the lower jaw by Dr Christoph Lichtblau.

Before
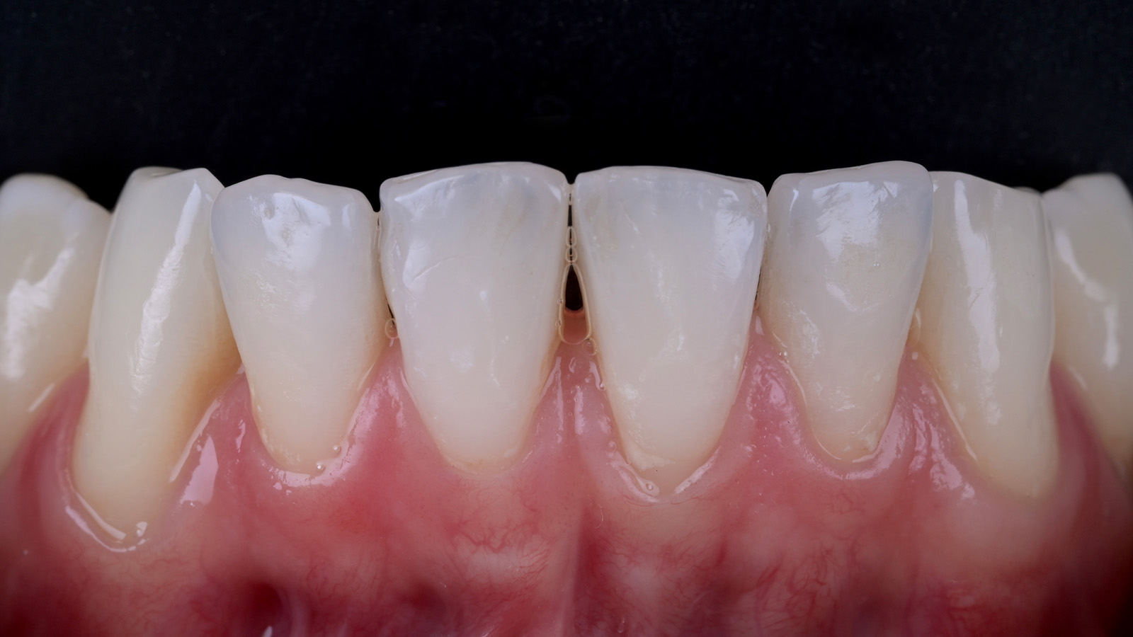
After

Restoration of cervical lesions in the lower jaw​ with Venus Diamond Flow DARK​ (Dr Christoph Lichtblau).

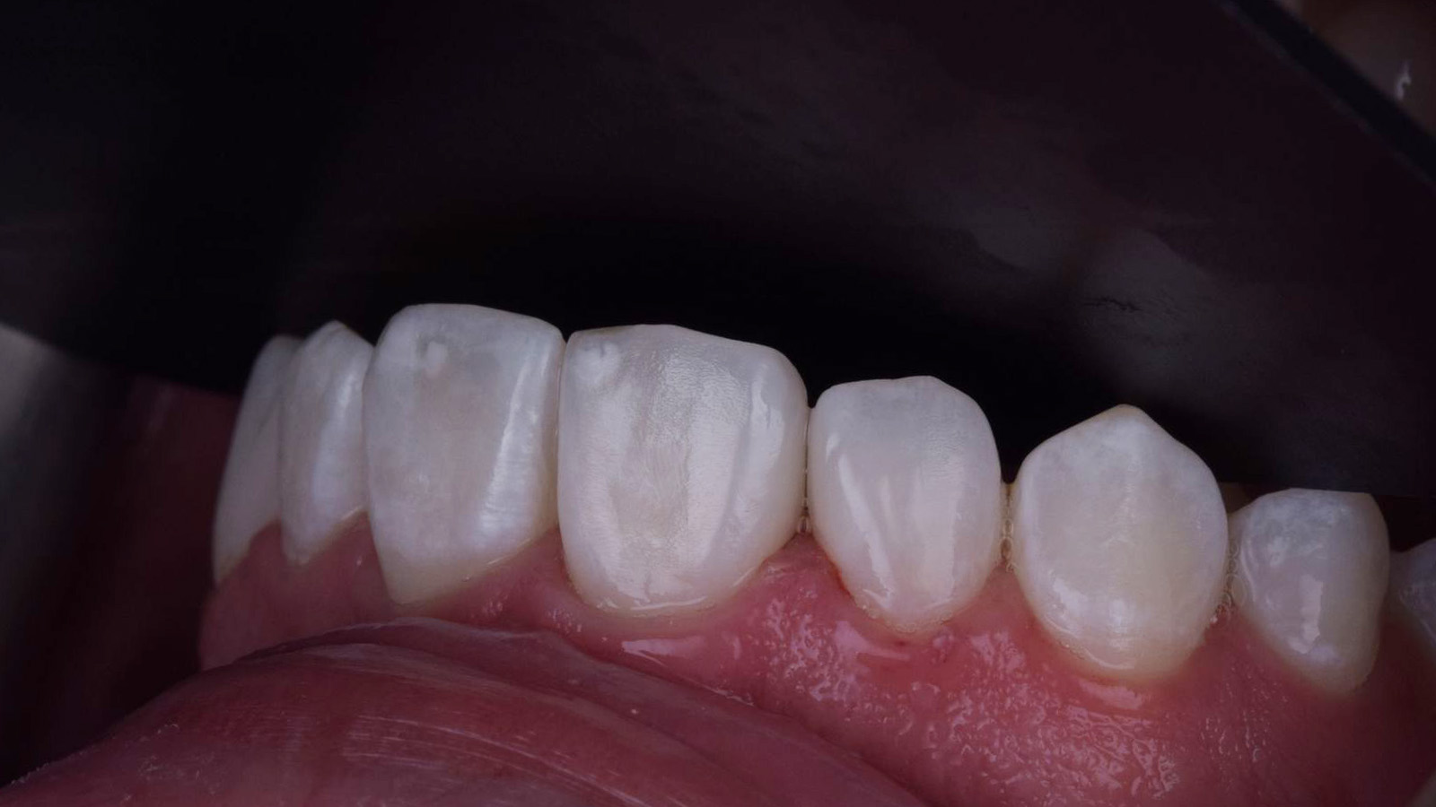
Cases with Venus® Pure
Cases with Venus Pure Shades
Before
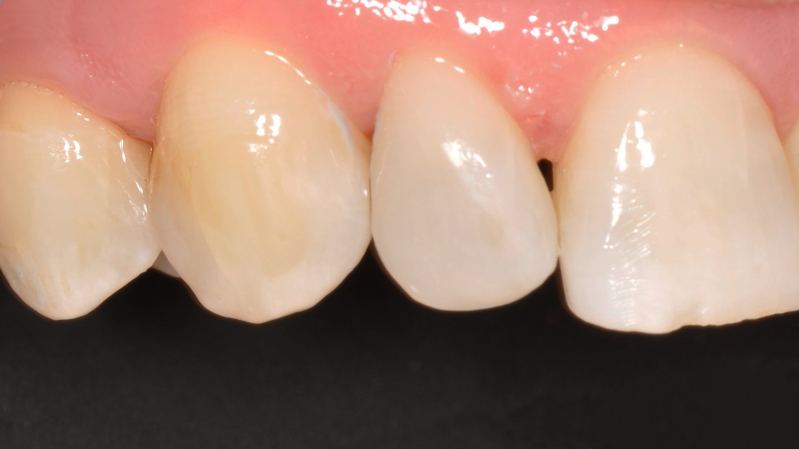
After

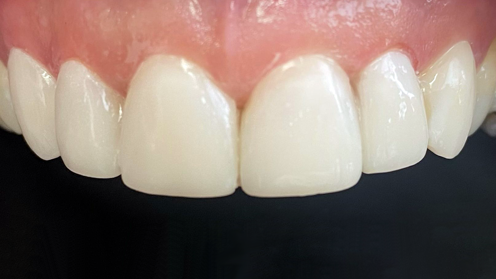
Reconstruction of teeth 15 to 22 in monochromatic layering with Venus Pearl DARK - except tooth 12 where Venus Diamond OMC was used to cover dark areas - and Venus Supra (Dr Vegard Berg).

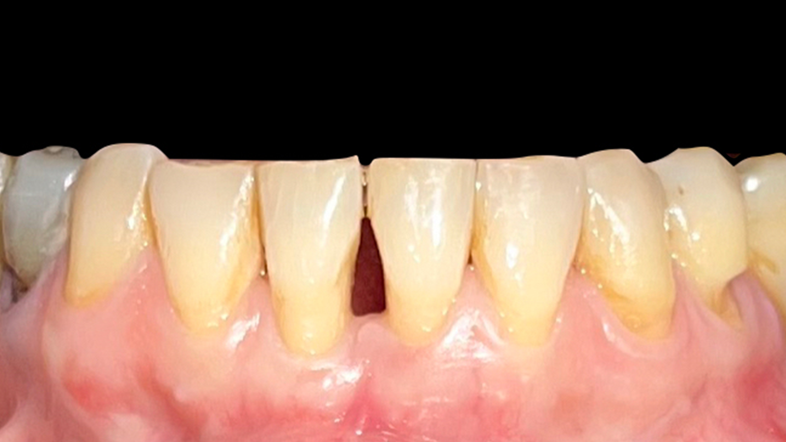
Before
After

Closure of medial diastema in the lower jaw with Venus Pearl LIGHT & Venus Diamond Flow LIGHT​ (Dr Edoardo Fossati).

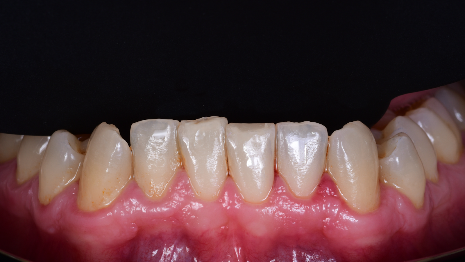
Before
After

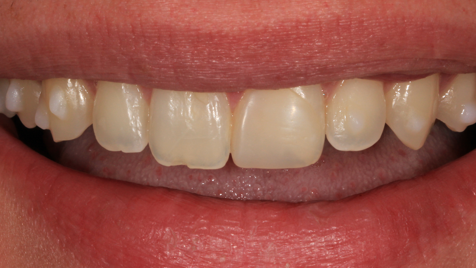
Reshaping of tooth 12 using Venus Diamond Flow Pure LIGHT in monochromatic layering​ (Dr Mahmoud Ibrahim).

Before
After

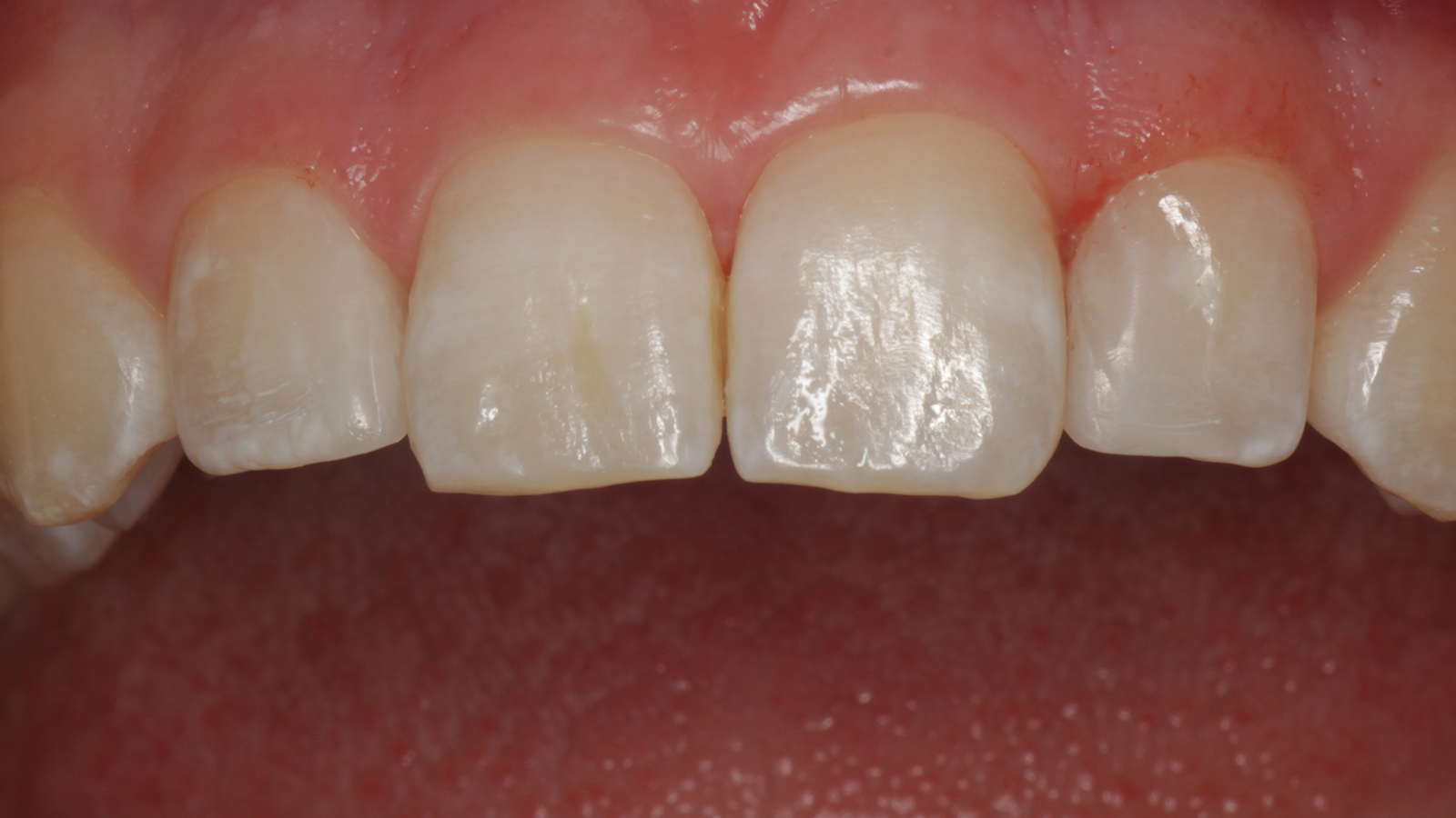
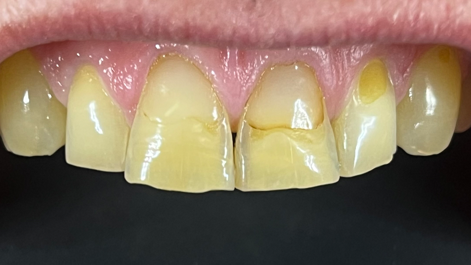
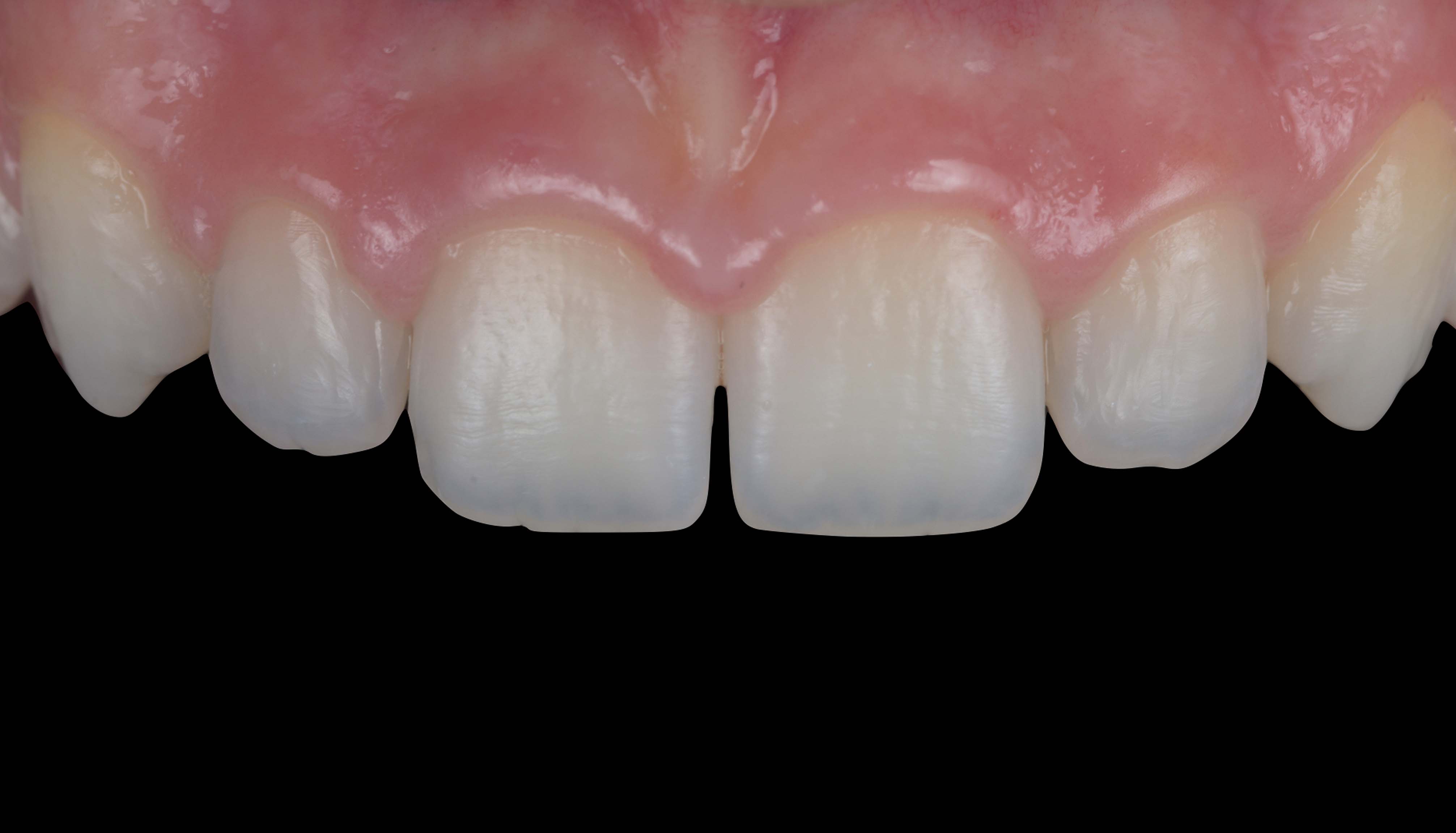
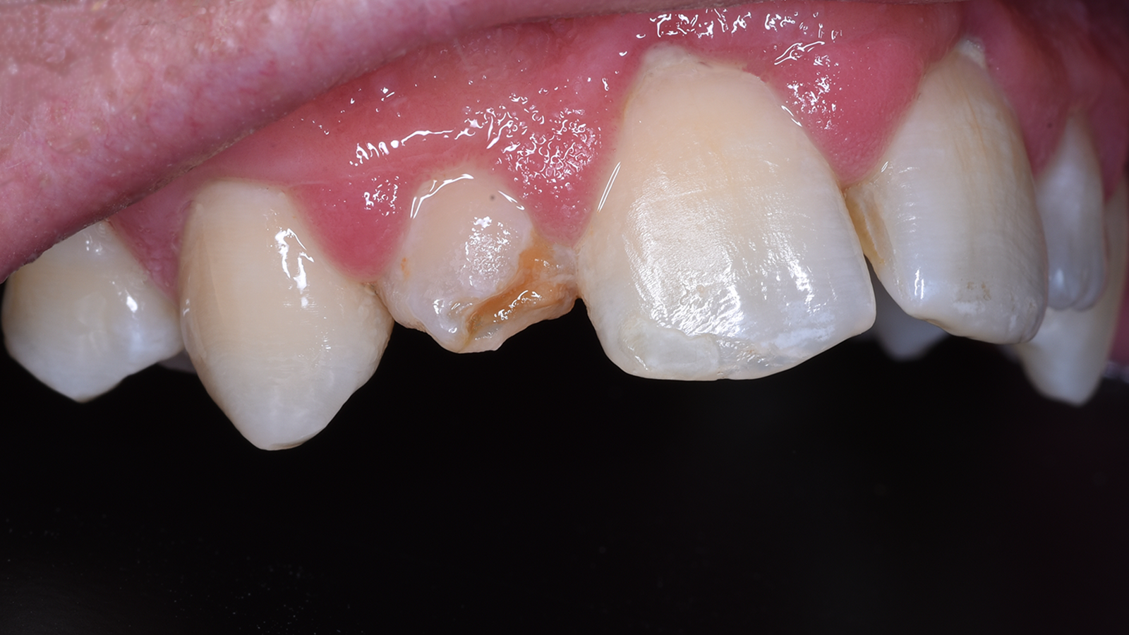
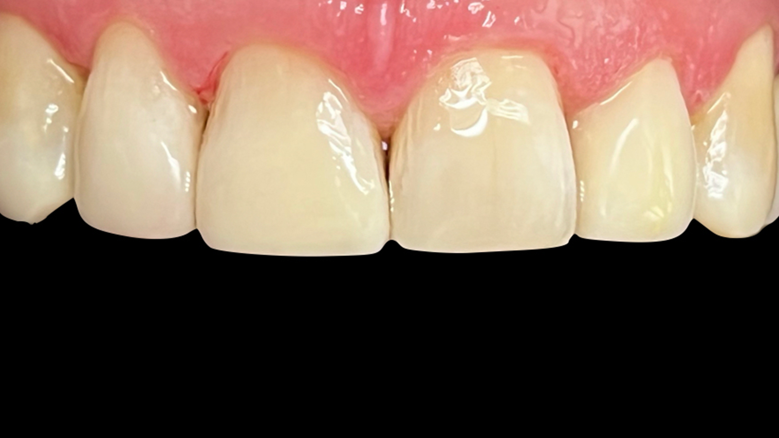
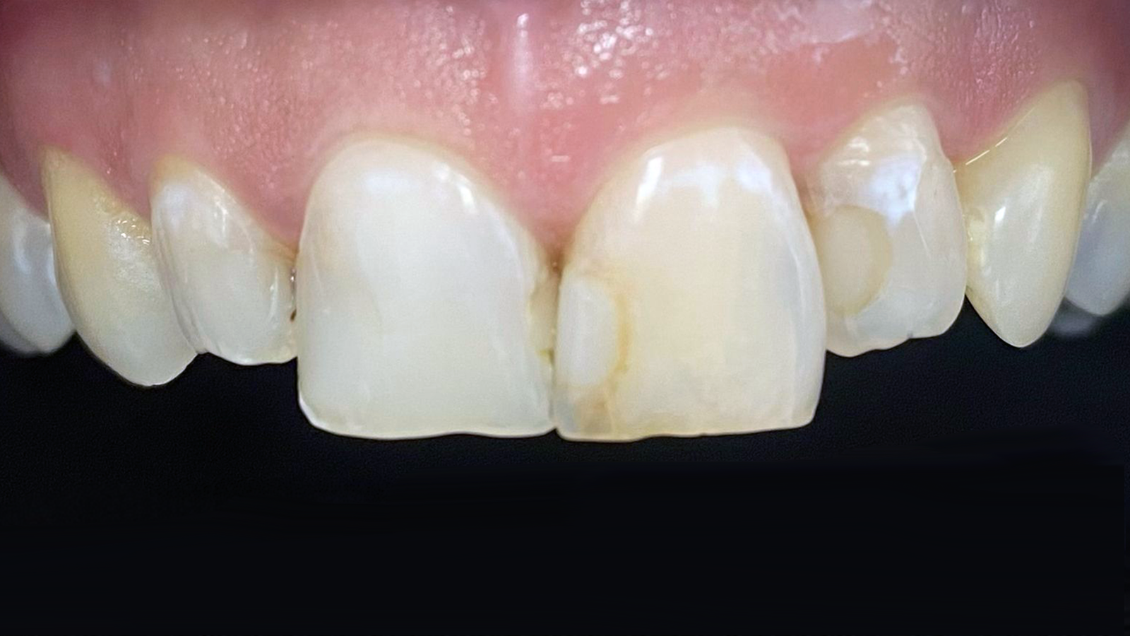
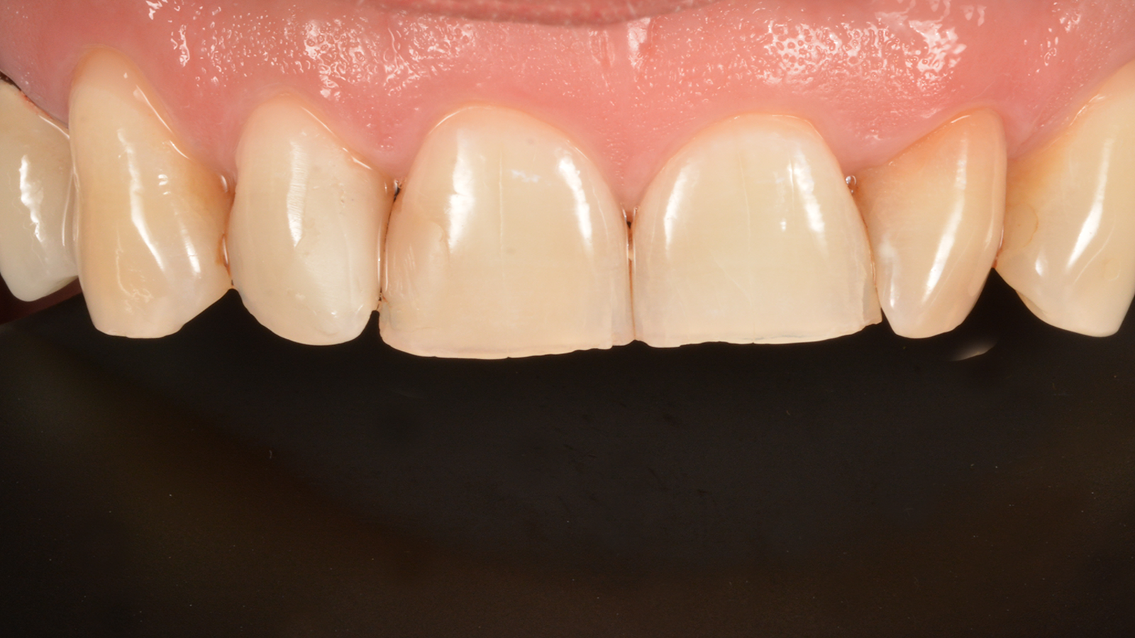
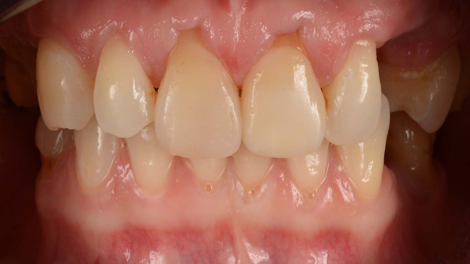
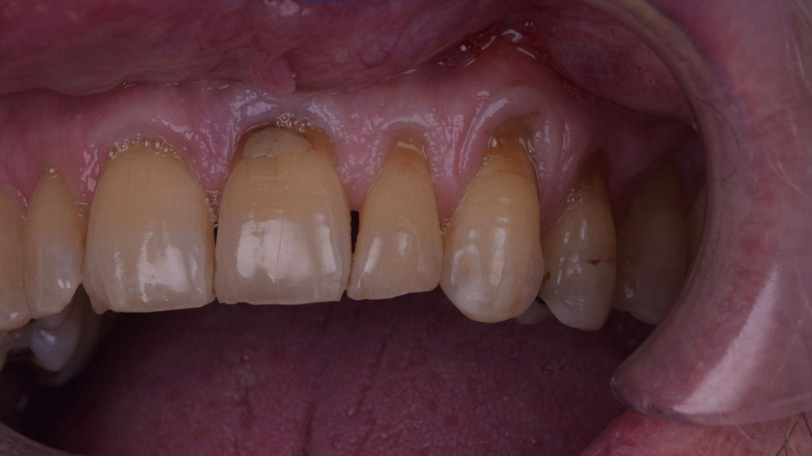
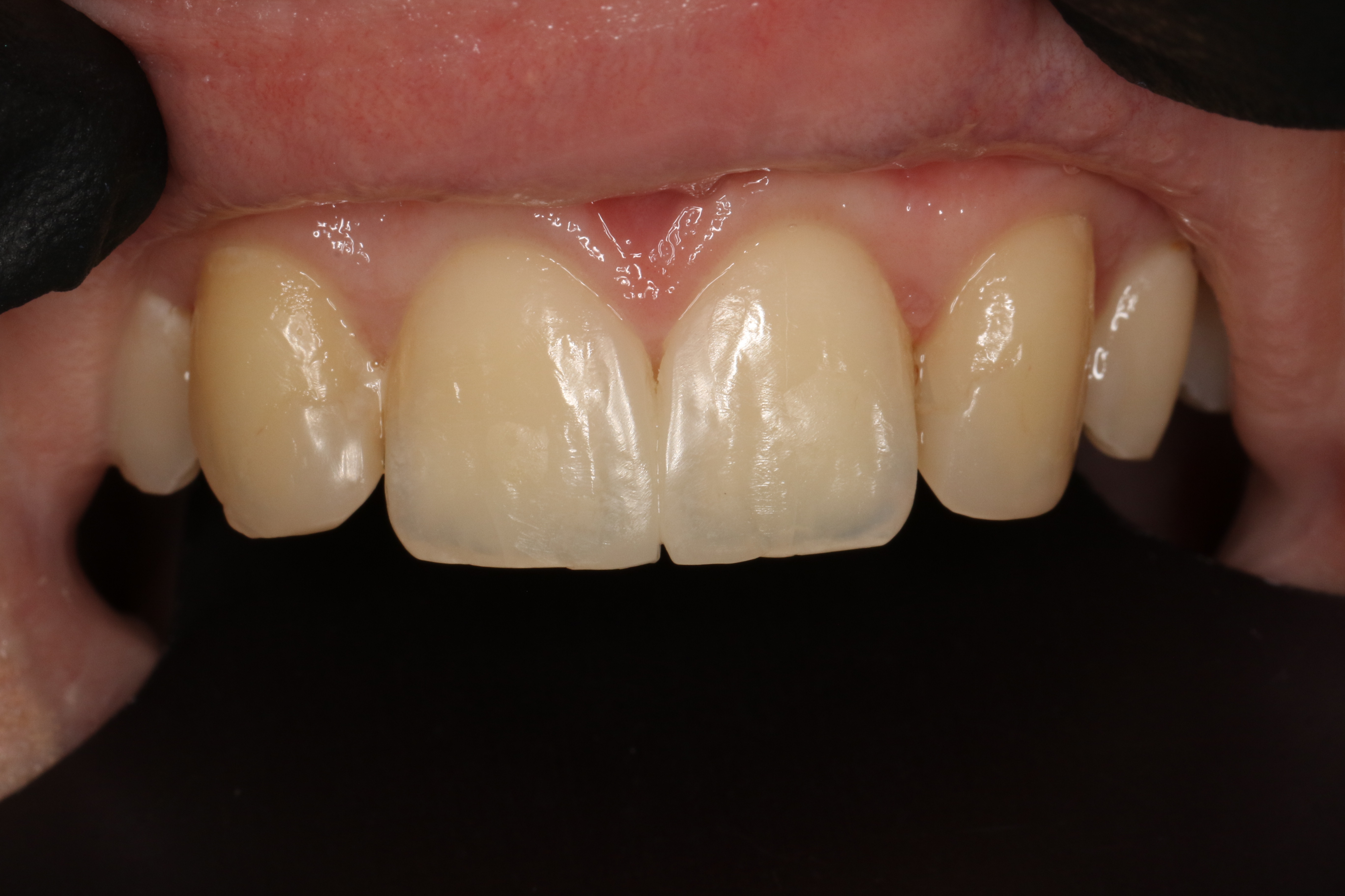
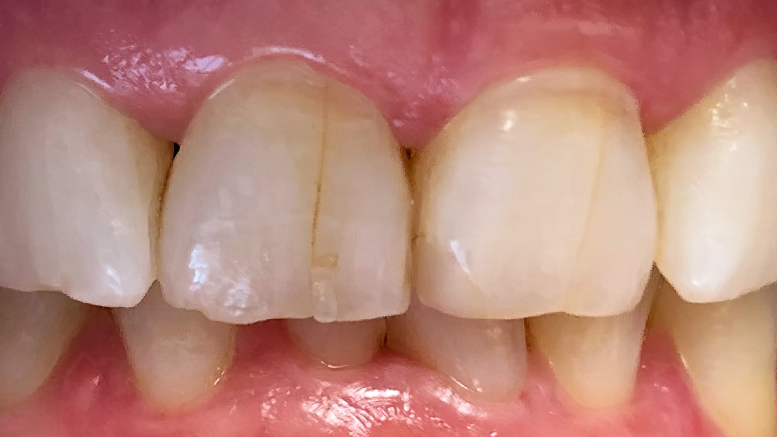
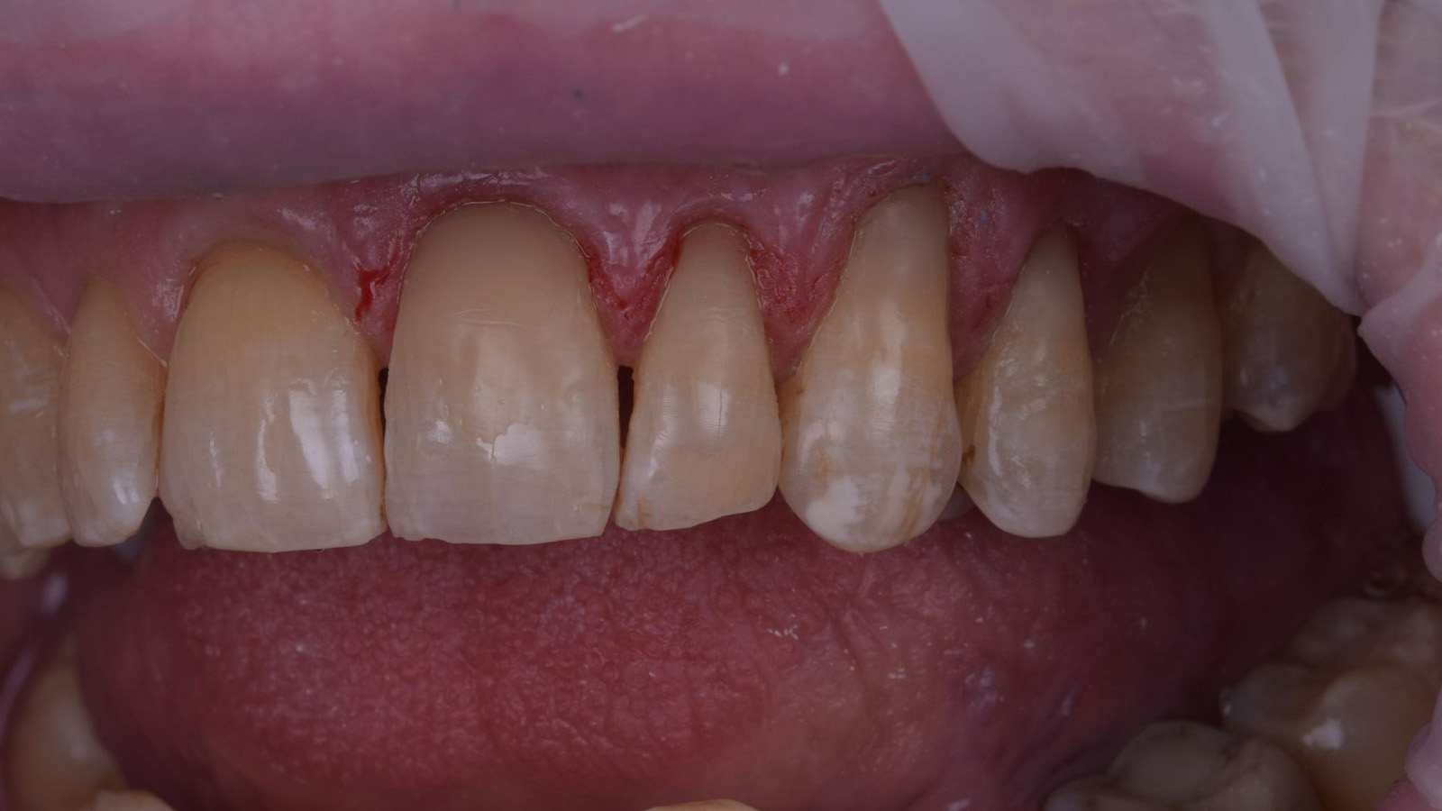
Restoration of cervical lesions in the upper jaw​ with ​Venus Diamond Flow DARK (Dr Mahmoud Ibrahim).

Before
After

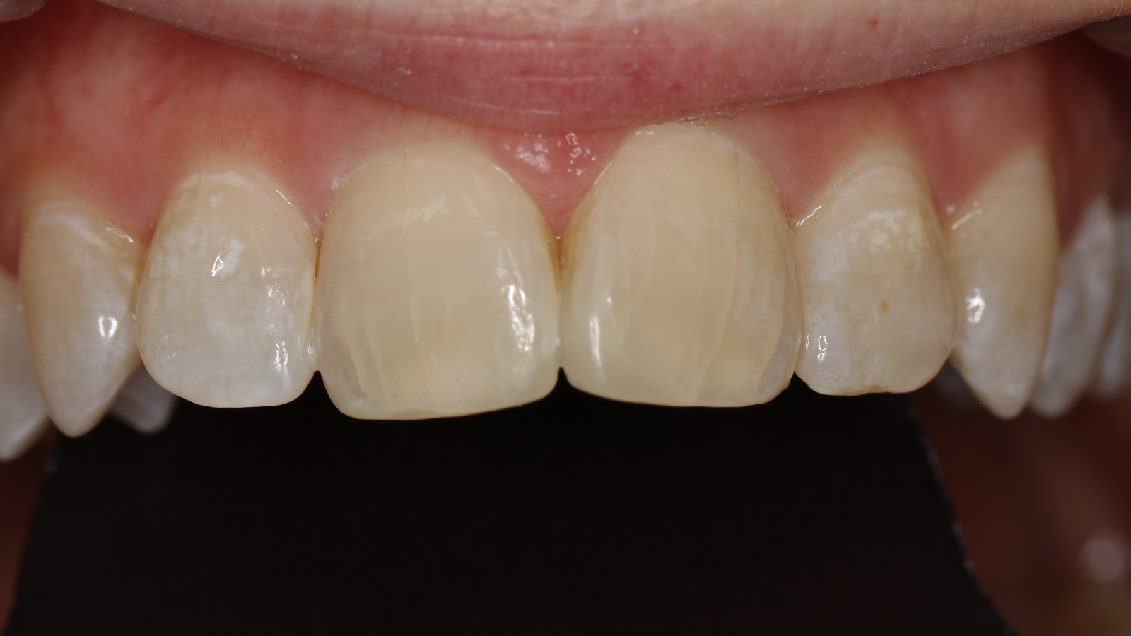
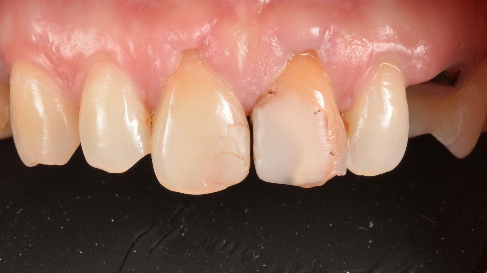
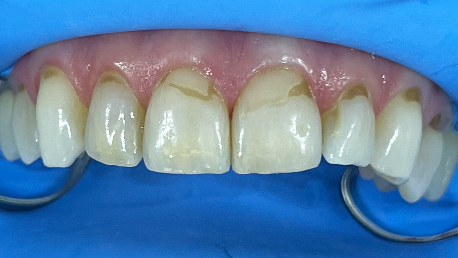
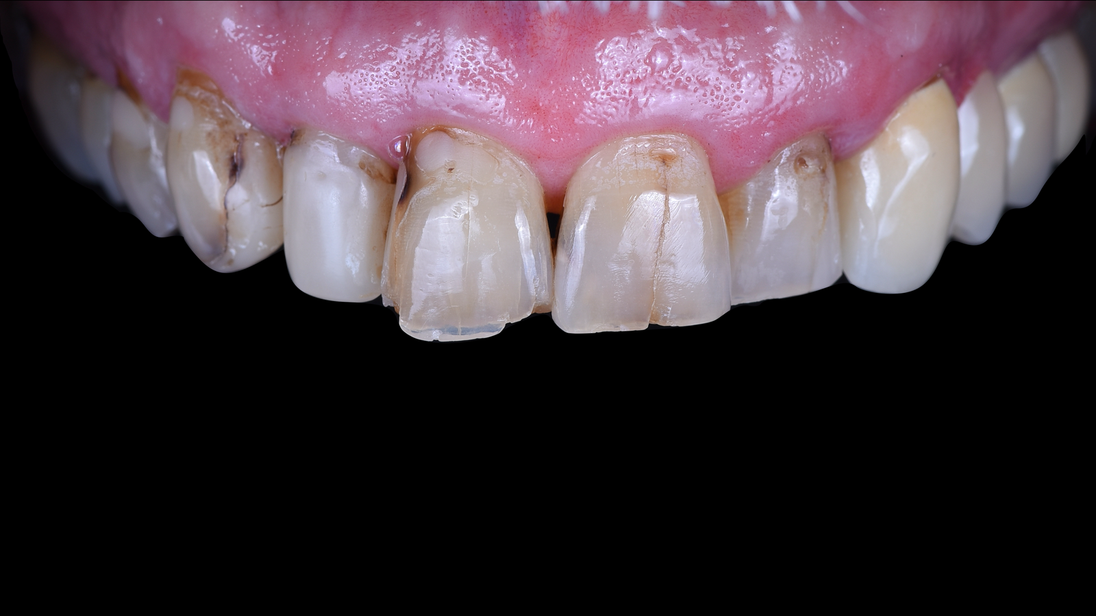
Restoration of cervical lesions in the lower jaw​ with Venus Diamond Flow DARK​ (Dr Christoph Lichtblau).

Before
After

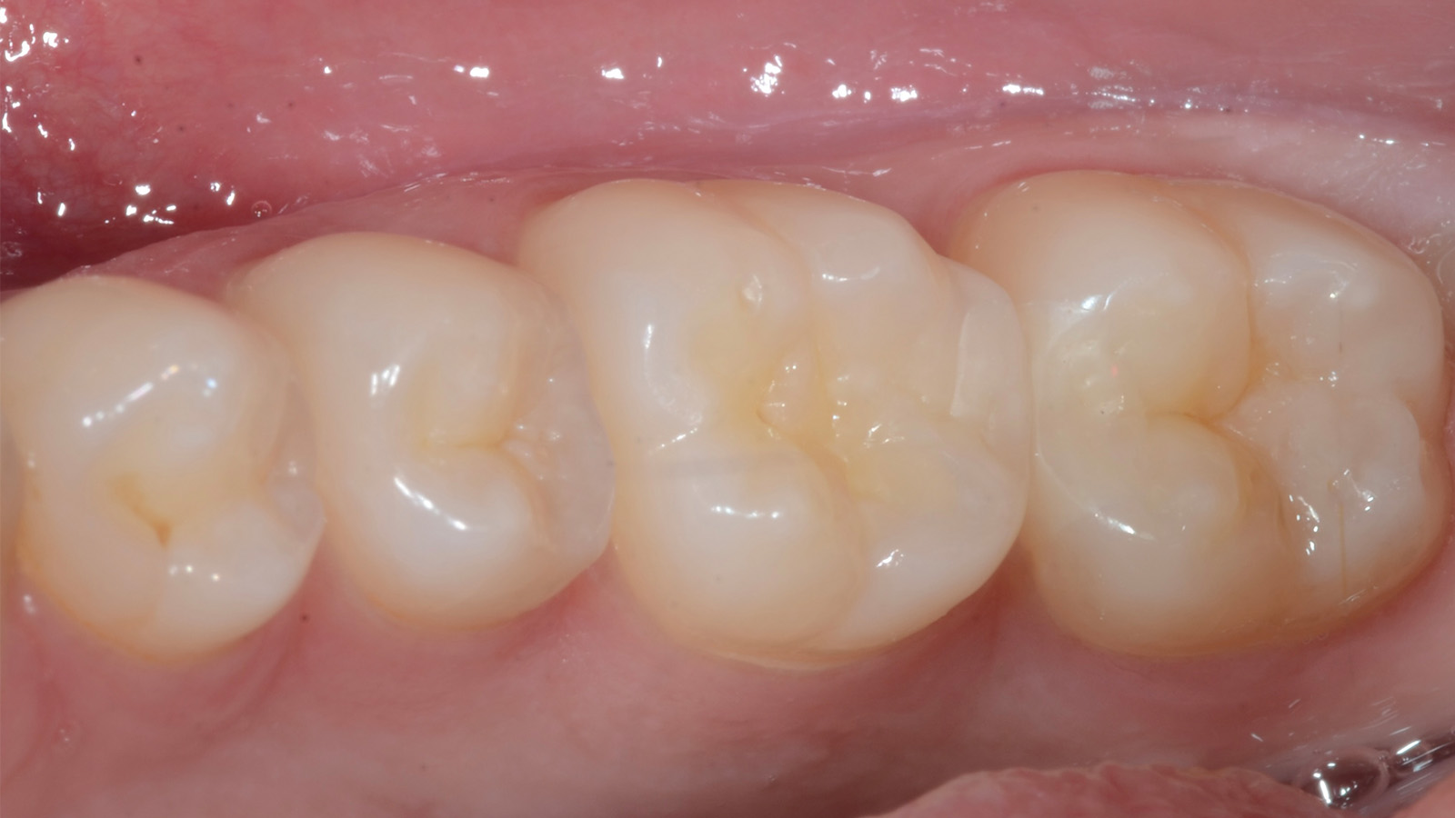
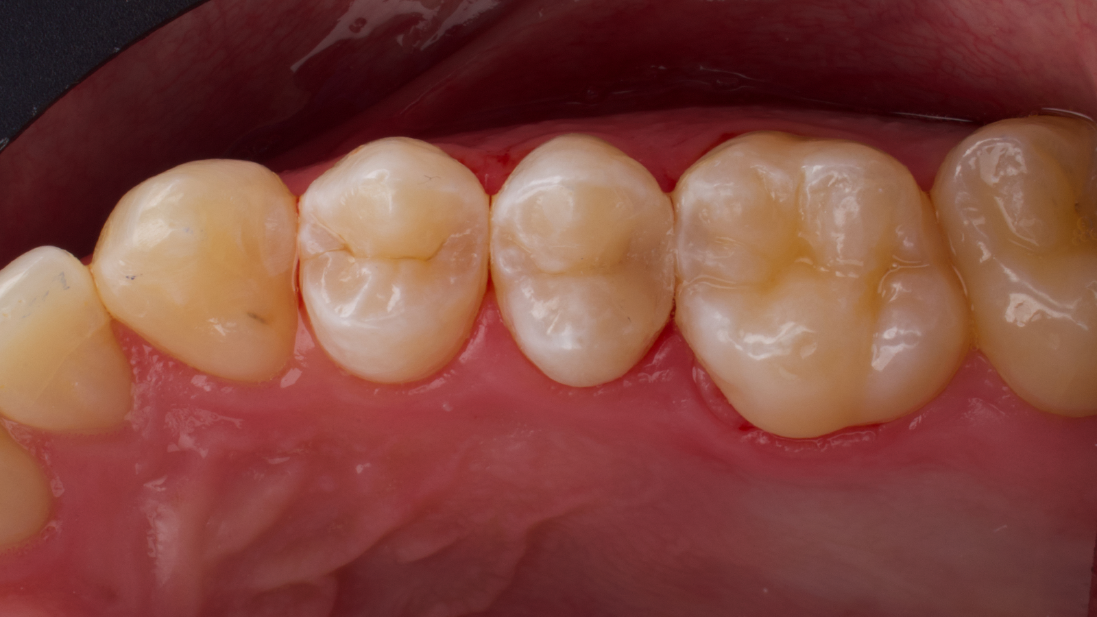
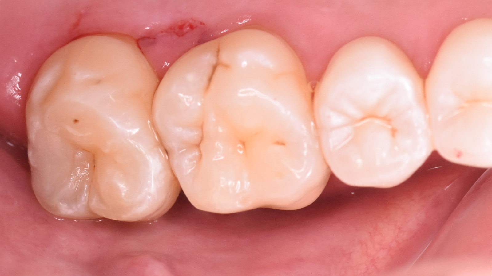
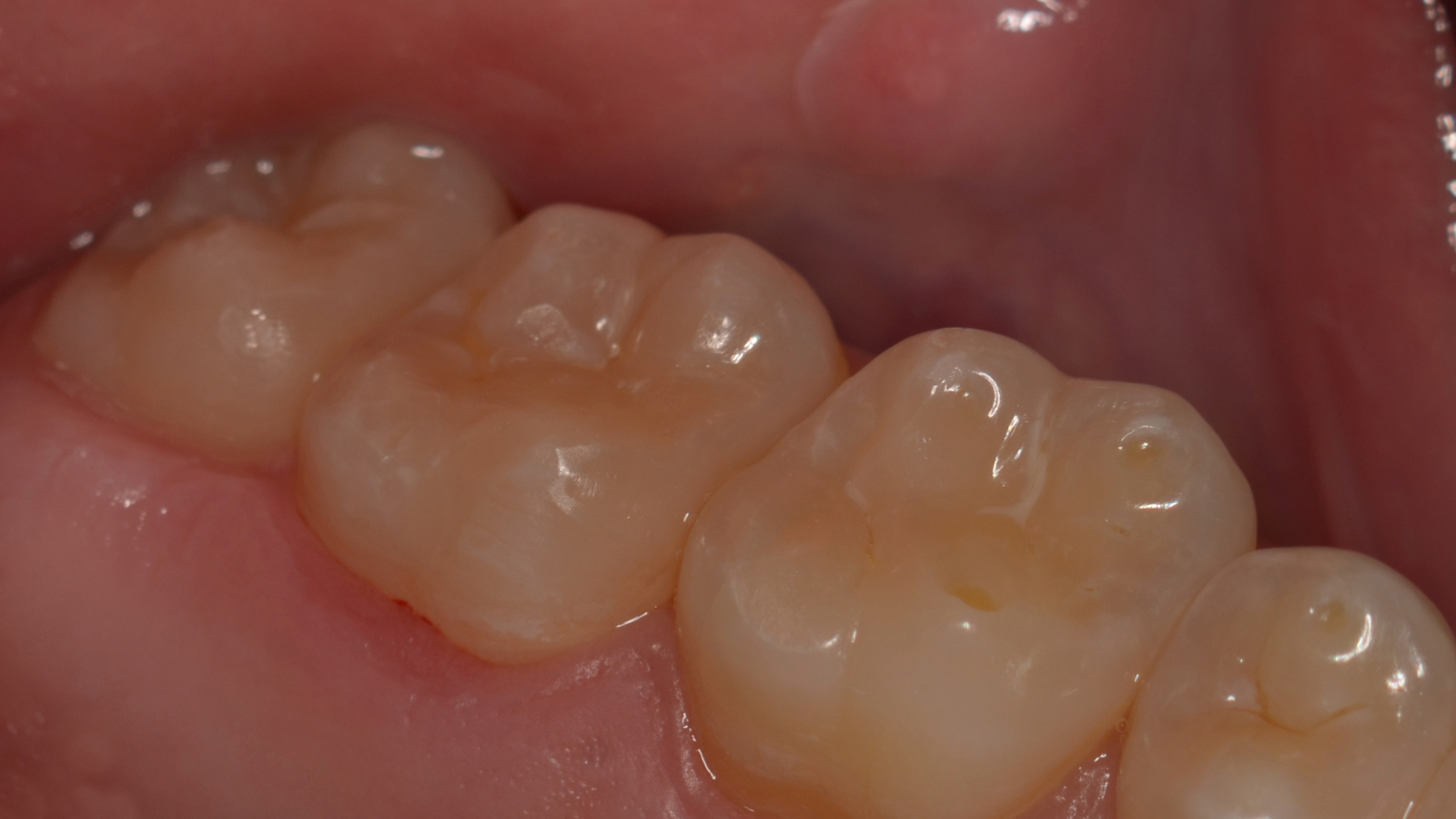
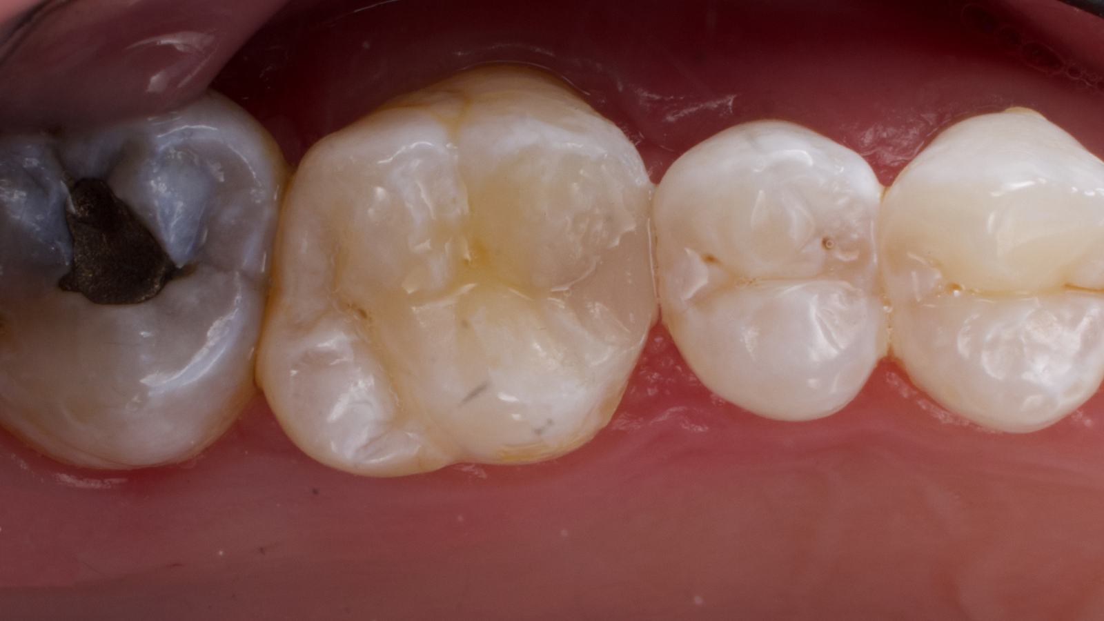
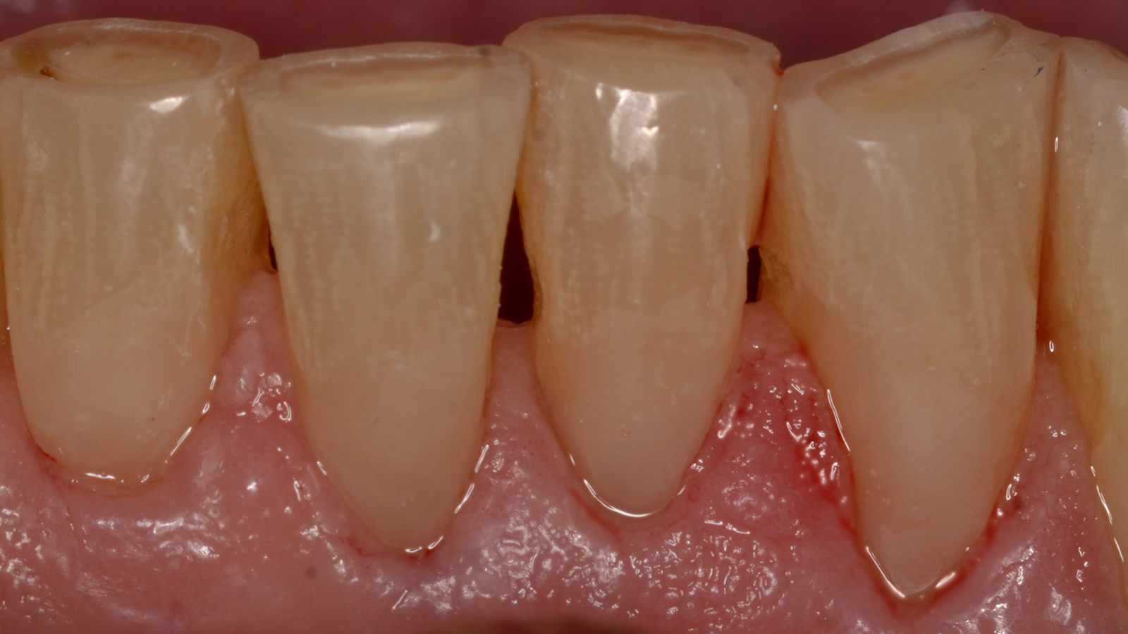
Reconstruction of carious lesion in upper molar​​ with Venus Diamond Flow MEDIUM & iBOND Universal (Dr Christoph Lichtblau).

Before
After

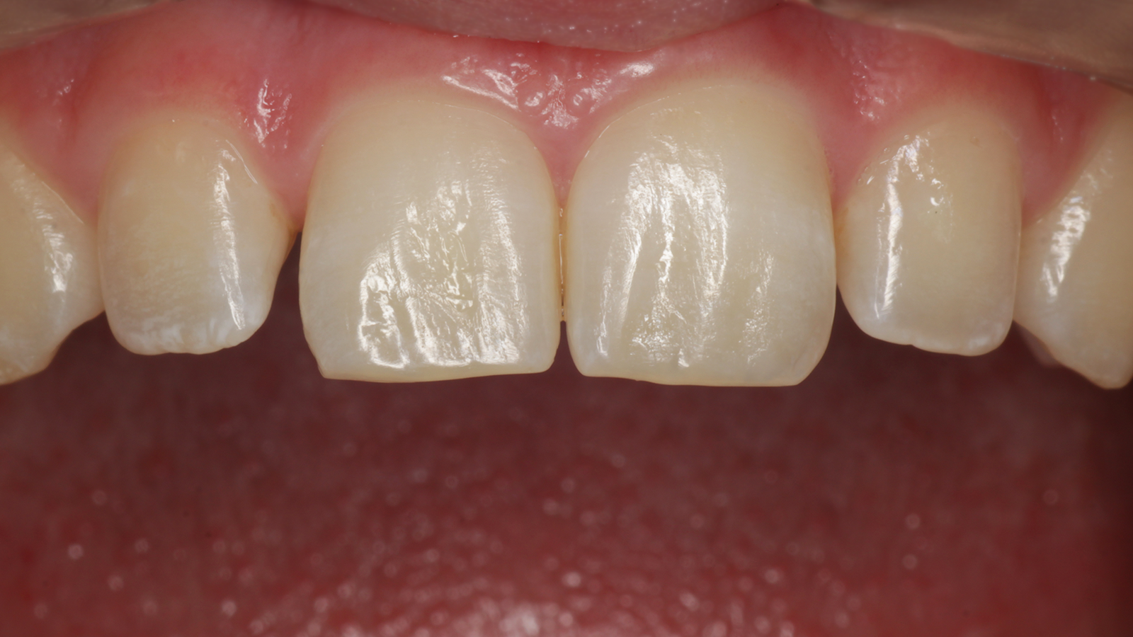
Monochromatic diastema closure fulfilling the patients‘ wish for a fast and reliable solution​ with Venus Pearl LIGHT (Dr Jukka Paakkanen).

Before
After

Quick monochromatic solution at chipped upper central incisors with Venus Pearl MEDIUM​ (Dr Jukka Paakkanen).

Before
After

Monochromatic correction of minor chip on tooth 11 with Venus Pearl LIGHT (Dr Jukka Paakkanen).

Before
After

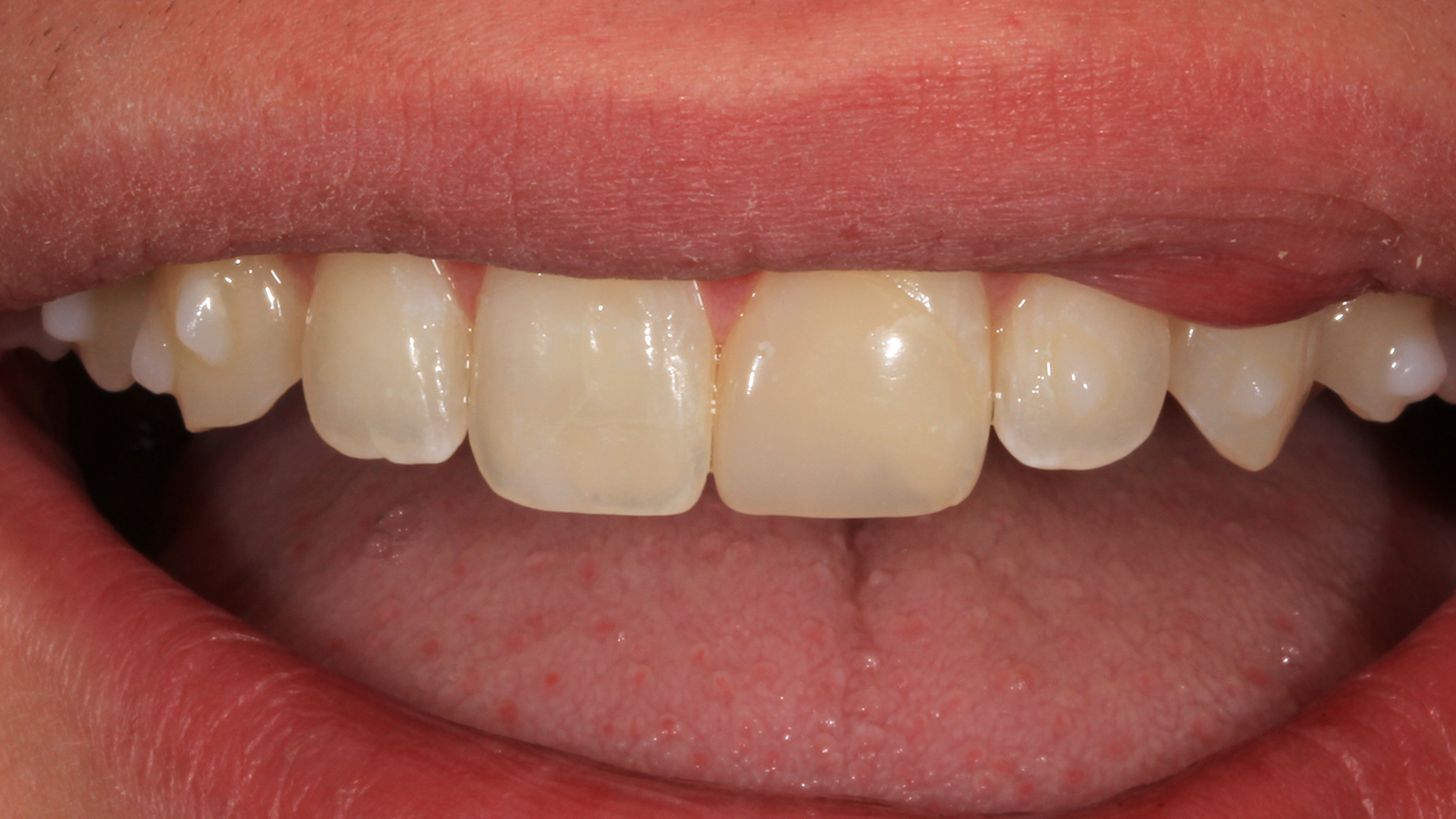
Minimal invasive monochromatic aesthetic reconstruction of the upper incisors with Venus Pearl BLEACH (Dr Azadeh Balalaie).

Before
After

Aesthetic reconstruction of crowded teeth in the upper and lower front with Venus Pearl LIGHT & Venus Color (Dr Henrik Hjelte).

Before
After

Cervical reconstruction in the upper front with Venus Pearl LIGHT (Dr Henrik Hjelte).

Before
After

Aesthetic monochromatic reconstruction of teeth 11, 21 and 22 with Venus Pearl LIGHT (Dr Henrik Hjelte).

Before
After

Replacement of the old composite filling on the upper left central incisor with Ivory Rubber Dam, iBOND Universal, Venus Pearl LIGHT & Venus Supra (Dr Laura Mokhtari).

Before
After

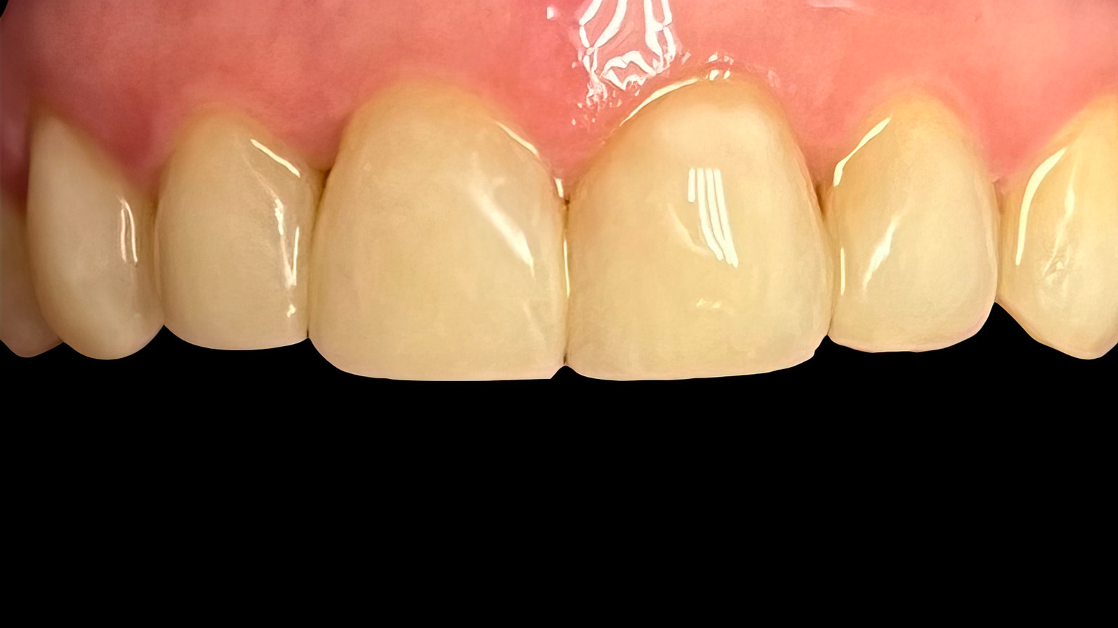
Before: Patient presents with incisal chipping and wear on tooth #8.
After: Tooth #8 restored with Venus Pearl Pure BLEACH and LIGHT shades (Dr. Brian LeSage).

Before
After

Class I occlusal amalgam restoration on tooth #30 using Venus Pearl PURE MEDIUM shade as base, veneered with LIGHT shade (Dr. Brian LeSage).

Before
After

Class IV restoration at tooth 11 after fracture and cosmetic correction at tooth 12 with Ivory Rubber Dam, iBOND Universal, Venus® Pearl LIGHT & Venus® Supra (Dr. Dimple Desai).

Before
After

Direct veneering of teeth 12 to 22​ with Venus® Pearl MEDIUM (Dr. Dimple Desai).

Before
After

Direct restoration of teeth 11 and 21 after incisal edge fractures in monochromatic layering with Venus® Pearl MEDIUM (Dr. Alvaro Gusmara).

Before
After

Diastema closure at teeth 12 mesial and 22 mesial after orthodontic treatment with Venus® Pearl LIGHT & Venus® Supra (Dr. Janine Schweppe).

Before
After

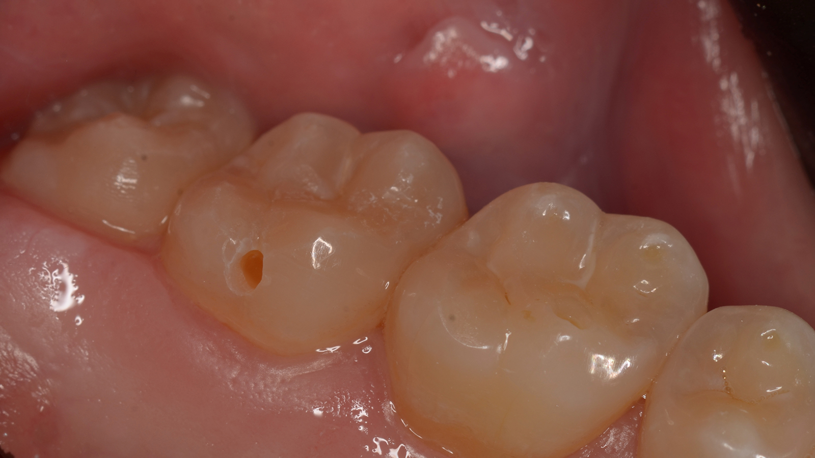
New composite restorations at teeth 14od and 15om with Venus Bulk Flow ONE & Venus Pearl MEDIUM (Dr Patrik Bargiel).

Before
After

Restoration of carious lesion at tooth 36 with Venus® Bulk Flow ONE & Venus® Pearl LIGHT (Dr. Patrik Bargiel).

Before
After

Class IV restoration at tooth 21 with Venus® Pearl MEDIUM following a dental accident (Dr Patrik Bargiel).

Before
After

Restoration of two central incisors (teeth 11 and 21) using Venus® Pearl MEDIUM composite in monochromatic layering (Dr. Riccardo Baratto).

Before
After

Correct anatomical and aesthetical reconstruction of tooth 12 with Venus® Diamond MEDIUM (Dr. Gianluca D'Oria).

before
After

Class IV restoration at tooth 31 ​with Venus® Pearl MEDIUM (Dr. Barelli Corbo, Federico).

Befor
After

Class IV restoration at tooth 21 with Venus® Pearl MEDIUM (Dr. Pianticella Corinne).

Before
After

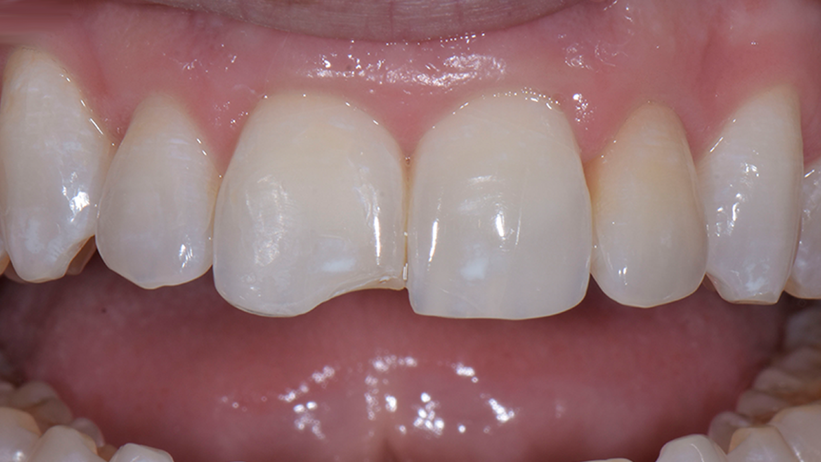
Direct restoration of fractured tooth 12 in monochromatic layering with Venus Diamond DARK (Dr Álvarez Rodríguez).

Before
After

Replacement of insufficient restorations and anatomical correction in the anterior (13 to 23) ​with Venus® Diamond LIGHT (Dr. Álvarez Rodríguez).

Before
After

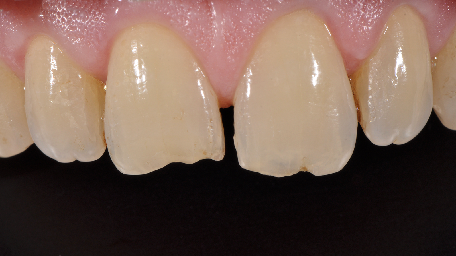
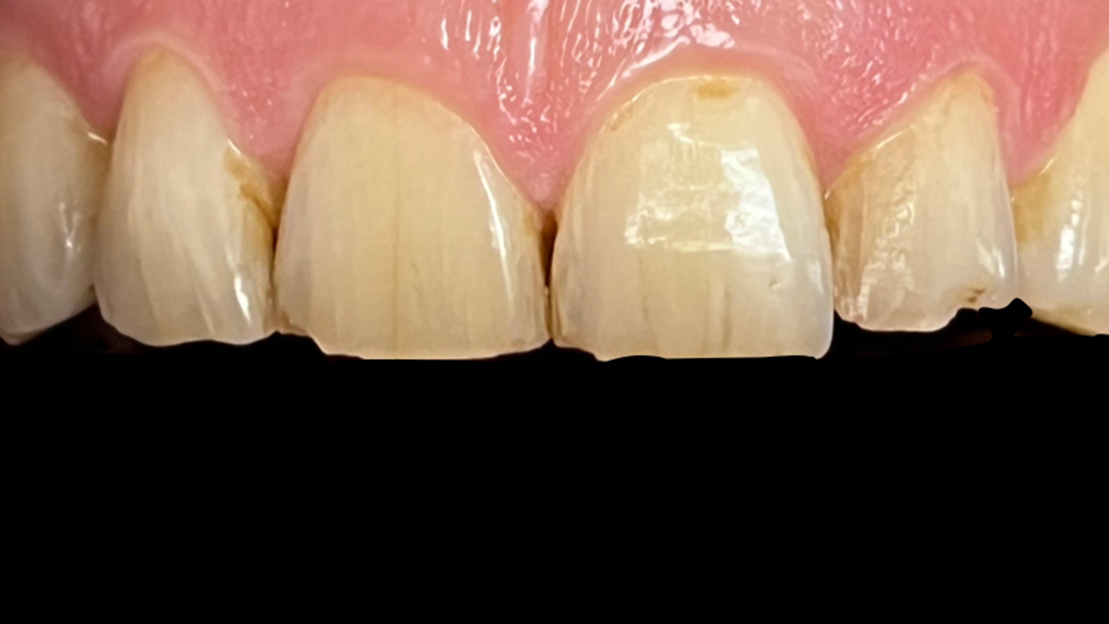
Direct repair of fractured 10-year-old composite veneer at tooth 21​ ​with Venus® Diamond DARK (Dr. Álvarez Rodríguez).

Before
After

Reconstruction of tooth abrasion in the lower anterior region with Venus® Pearl MEDIUM (Dr. Francesco Lerda).

Before
After

Replacement of an insufficient amalgam restoration with Venus® Pearl LIGHT (Dr. Siddarth Gupta).

Before
After

Replacement of insufficient old filling on first molar​ with Venus® Pearl LIGHT (Dr. Siddarth Gupta).

Before
After

Replacement of insufficient amalgam restoration with secondary caries in second premolar​ with Venus® Pearl LIGHT (Dr. Siddarth Gupta).

Before
After

Direct morphological restoration of the anterior teeth 12 - 22​ with Venus® Pearl LIGHT (Dr. Alessandro Conti).

Before
After

Replacement of an insufficient restoration at tooth 11 (tooth 21 was restored with a lithium disilicate crown) with Venus® Pearl LIGHT (Dr. Vincenzo Vitale).

Before
After

Replacement of an old discoloured filling at the lateral incisor (tooth 12) with Venus® Pearl LIGHT (Dr. Vincenzo Vitale).

Before
After

Aesthetic reconstruction of anterior teeth with Venus® Pearl LIGHT (Dr. Alicia Serra).

Before
After

Aesthetic reconstruction of anterior teeth with Venus® Pearl LIGHT (Dr. Alicia Serra).

Before
After

Direct gap closure in the lower front with Venus® Pearl MEDIUM (Dr. Alicia Serra).

Before
After

Aesthetic reconcstruction of the upper front teeth with Venus® Pearl MEDIUM (Dr. Alicia Serra).

Before
After

Aesthetic reconstruction of fractured teeth 11 and 21 with Venus® Pearl BLEACH (Dr. Alícia Serra).

Before
After

Reconstruction of carious lesions at teeth 36 and 37 with Venus® Pearl LIGHT (Dr. Filippo Del Curto).

Before
After

Restoration of occlusal caries lesion in second molar with Venus® Pearl LIGHT (Dr. Daniel Çaga).

Before
After

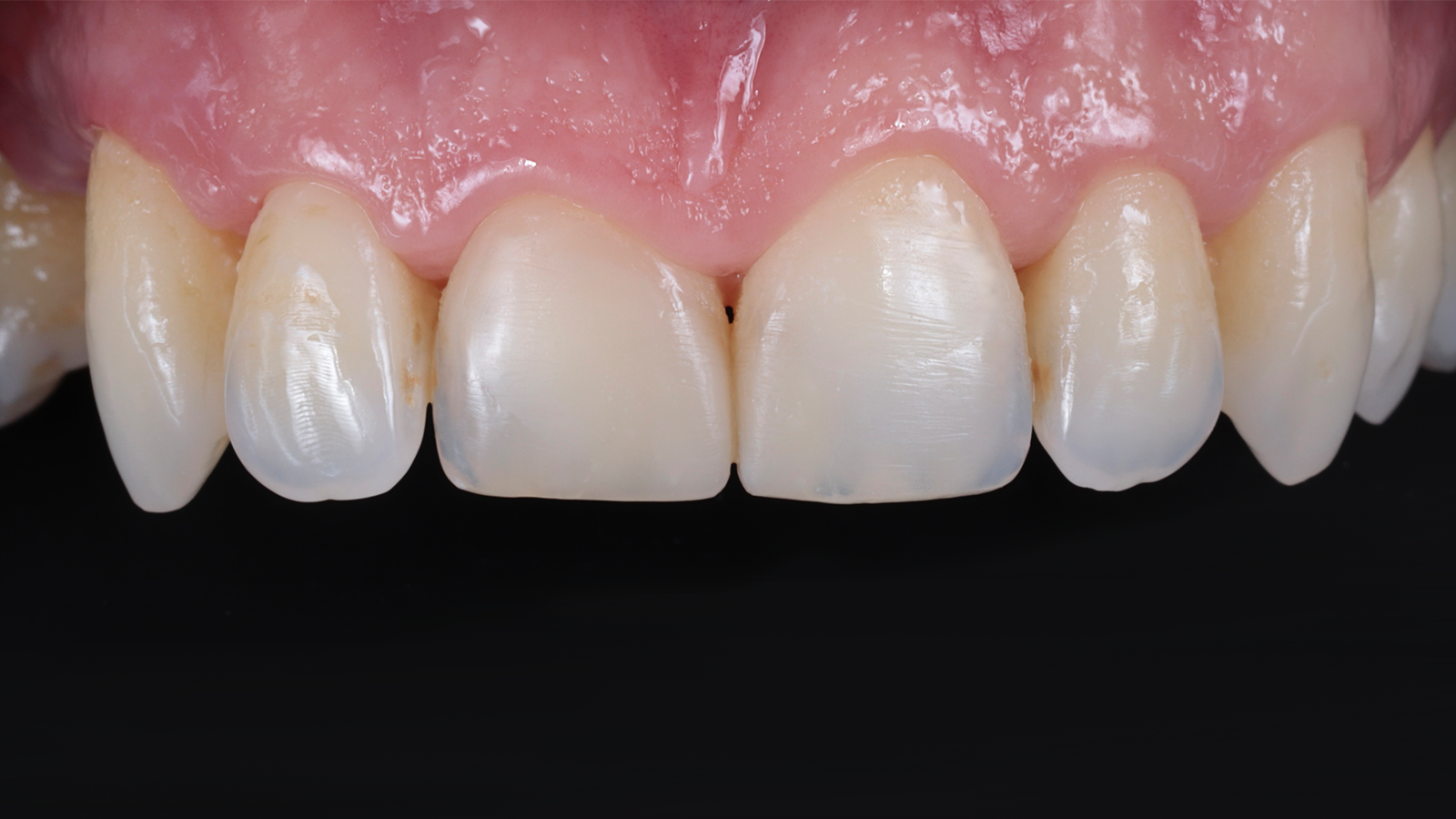
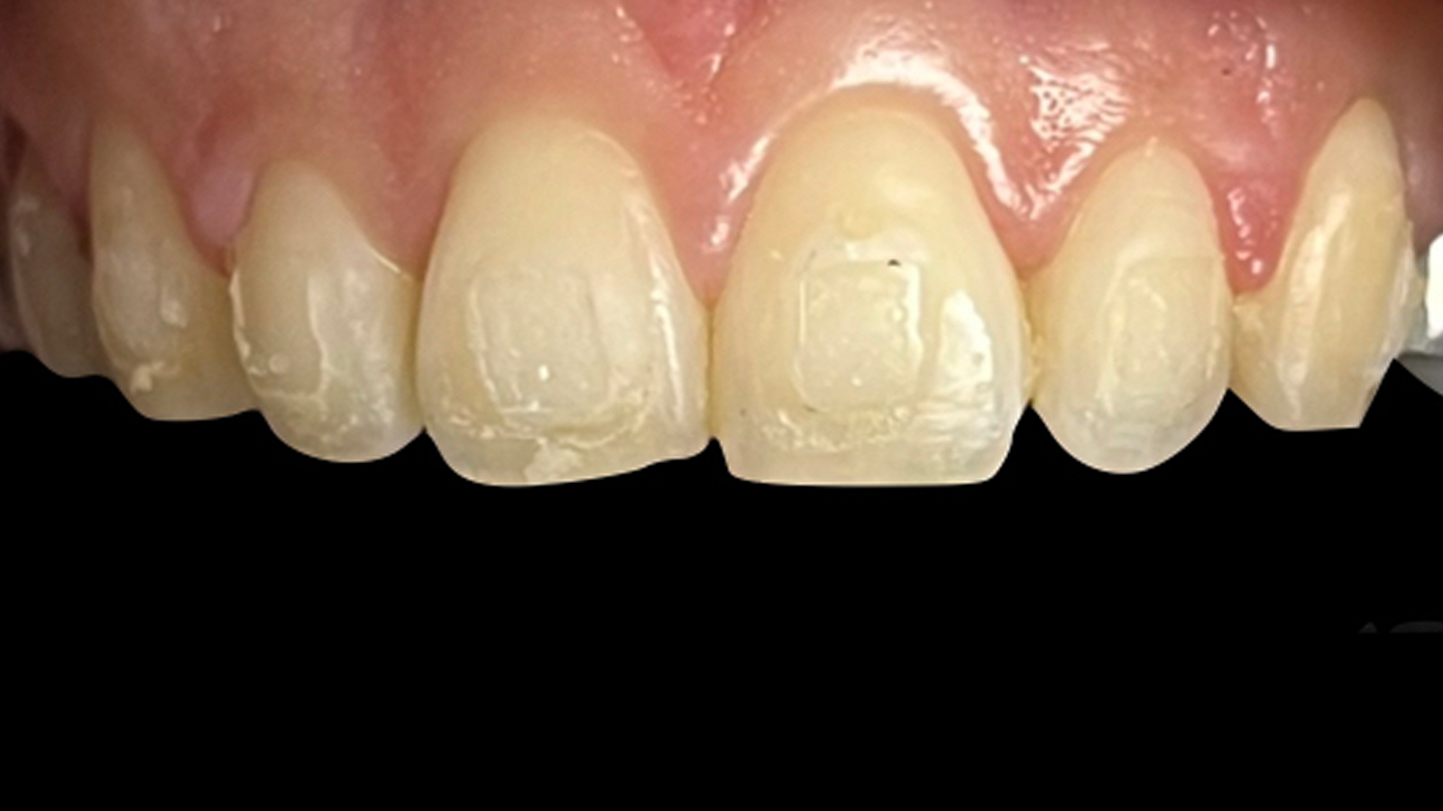
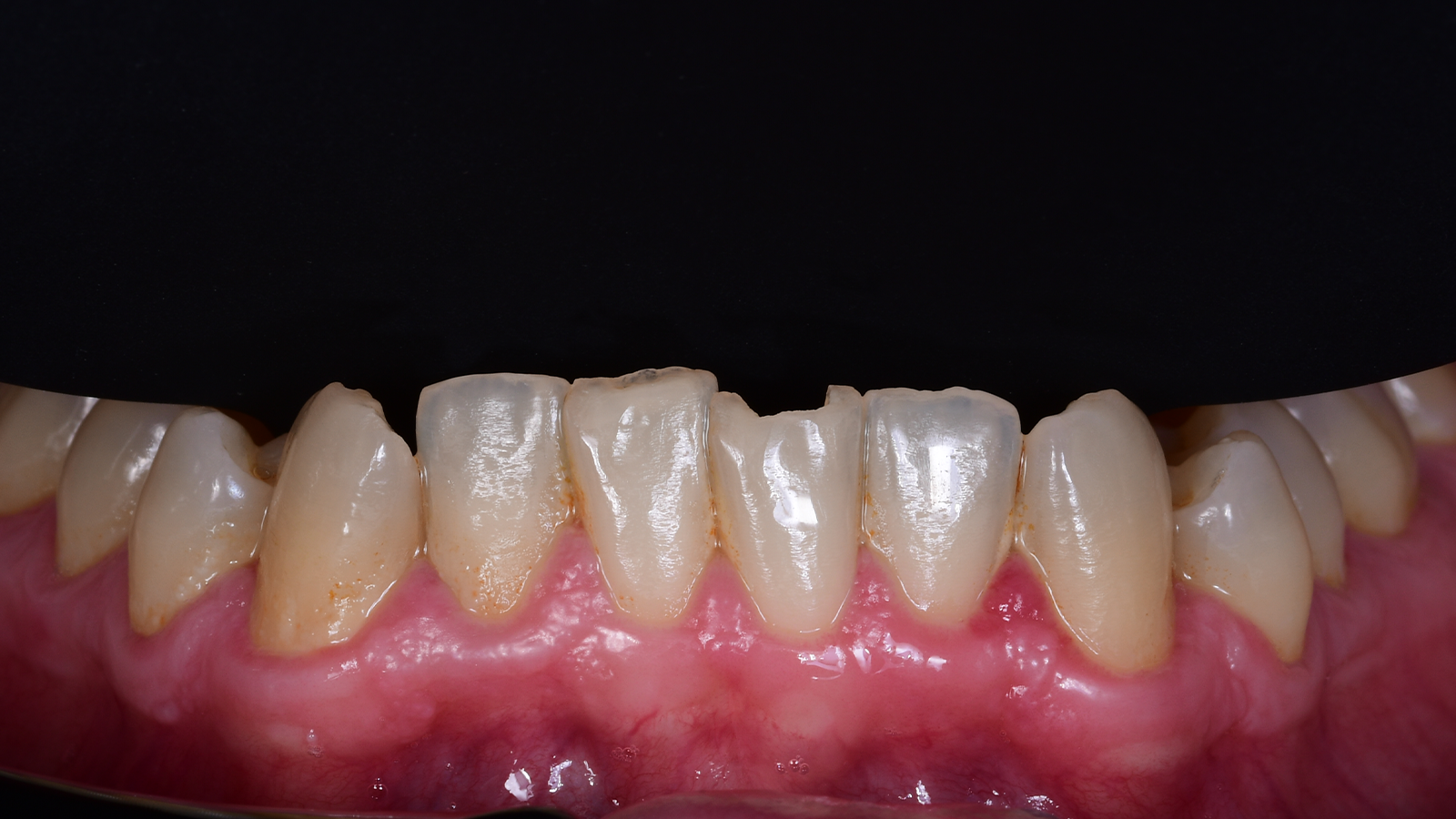
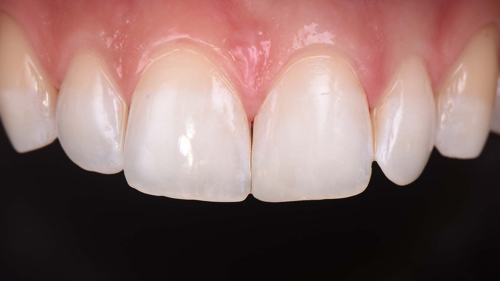
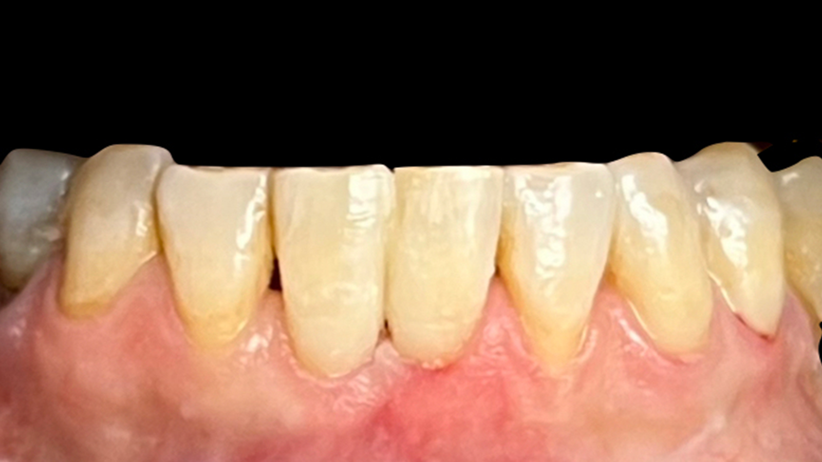
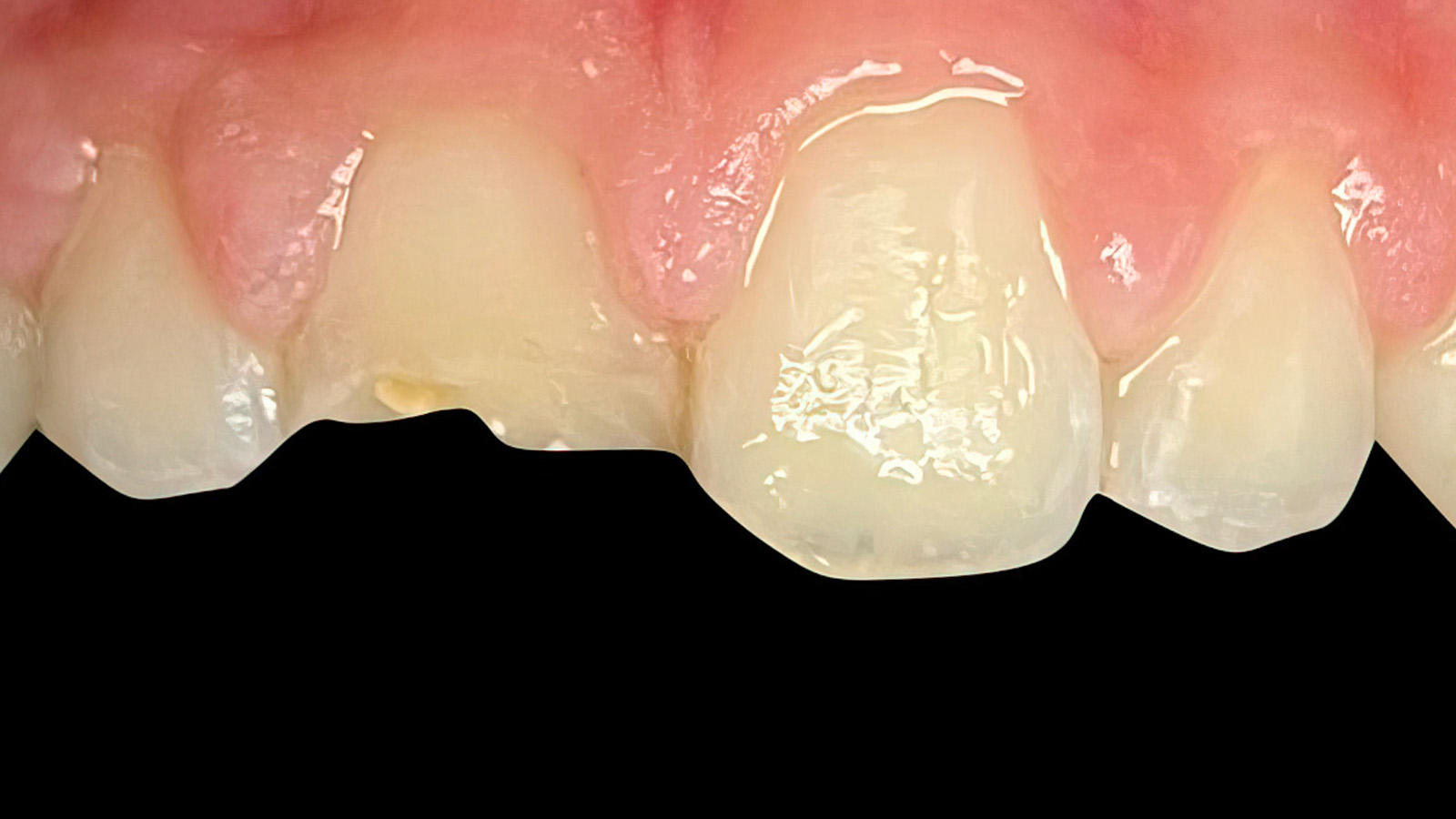
Restoration of strongly damaged anterior teeth with Venus® Pearl MEDIUM (Dr. Fraser Tait).

Before
After

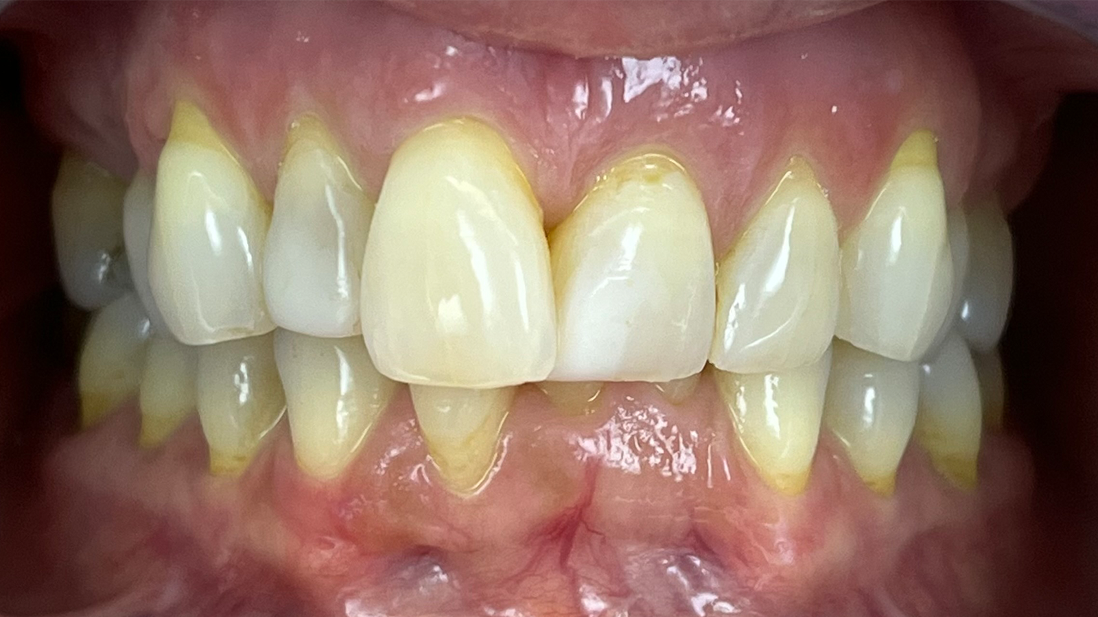
Aesthetic improvement of anterior teeth in elderly patient with Venus® Pearl DARK (Dr. Lucy Flanaghan).

Watch the webinar recording with StyleItaliano

The Pure code: achieving aesthetic excellence with just 4 shades.

You have missed the webinar with Dr Jordi Manauta? No problem!

Watch the webinar recording
Venus Pearl Pure Shades

Venus Pure

How does more simplicity in your everyday restorations look like?

DISCOVER THE BENEFITS OF THE NEW VENUS PURE
Be part of the Venus Community

Would you also like to be part of the Venus community?

Submit your case
Cases with Venus Art Shades
Cases with Venus Art Shades
Before
After

Diastema closure (Venus Diamond B1 & Venus Pearl OLC): 4-year result after repolishing (Dr Mahmoud Ibrahim).

Venus 2.0

Would you also like to be part of the Venus community?

Share your stories and submit your clinical cases with Venus Pure and Venus Art.

Sumbit your case
Venus Pearl Art Shades

Venus Art ...

... offers the flexibility and versatility to meet even the most demanding aesthetic challenges!

Choose it