Phone
(800) 431-1785
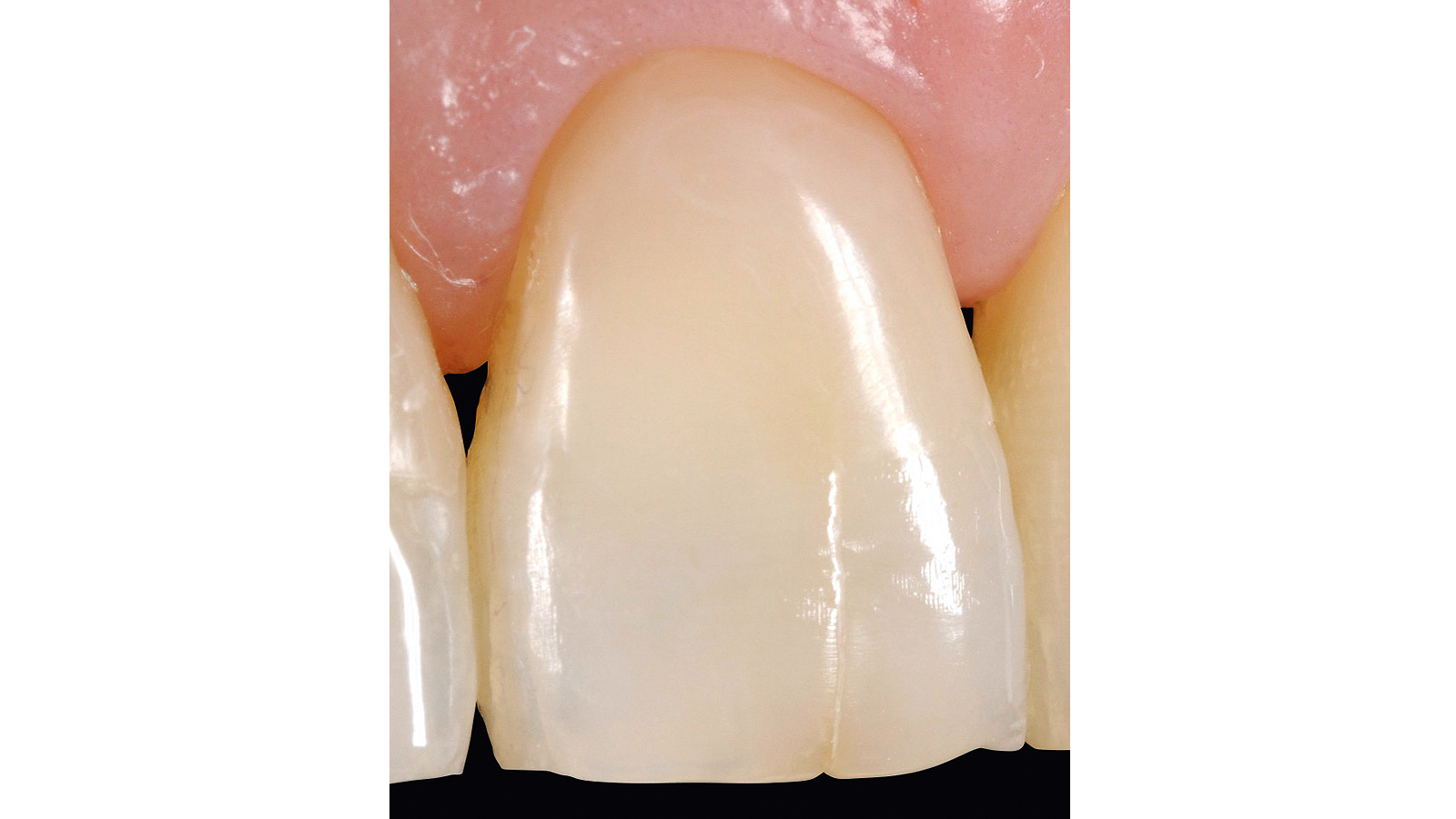
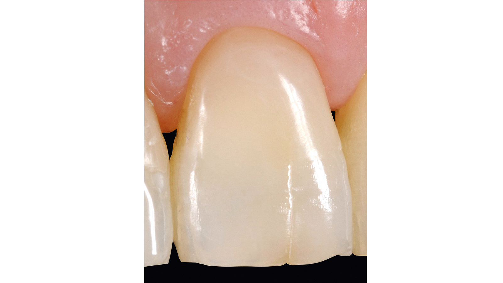
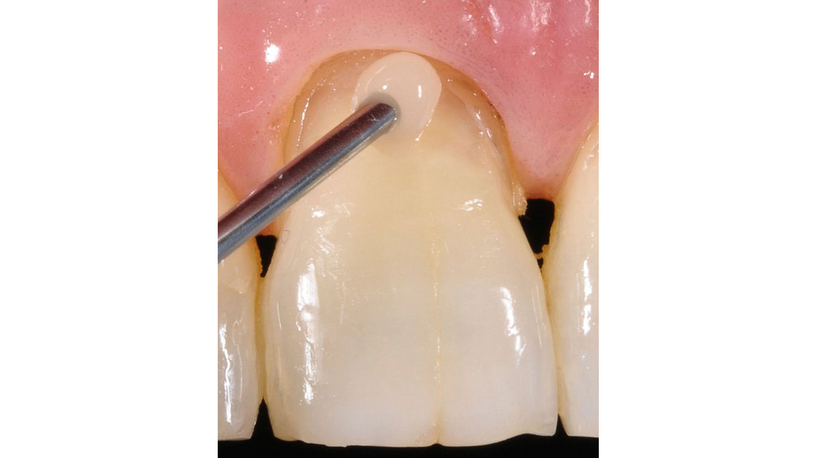
Ideal working properties and optimal aesthetics with Venus Diamond Flow.
Source: Krueger-Janson U, Frankfurt am Main, Germany
The superior physical properties of Venus Diamond Flow for sophisticated restorative solutions.
1) Is Venus Diamond Flow based on the traditional monomers, like BisGMA, TEGDMA, or HEMA?
Venus Diamond Flow is based on multifunctional methacrylate monomers (UDMA, EBADMA).
2) Is it compatible with other composites and bonding agents?
Venus Diamond Flow can be combined with all commercially available (meth)acrylate-based composites. We recommend the use of the universal nano-hybrid composite Venus Diamond or Venus Pearl as well as the bonding agents iBOND Universal or iBOND Total Etch.
3) What is the filler content?
Venus Diamond Flow contains approximately 65 % by weight, or 41 % by volume inorganic fillers such as Ba-AI-F silicate glass, YbF3 and SiO2. The filler particle size is between 0.02 μm and 5 μm.
4) Can Venus Diamond Flow be used for cementing veneers?
Venus Diamond Flow is not indicated for cementing veneers.
5) Is Venus Diamond Flow radio-opaque?
Yes, Venus Diamond Flow fillings are easily recognized on X-rays.
6) Can brackets also be bonded with Venus Diamond Flow?
Venus Diamond Flow is not indicated for bonding brackets.
7) Does Venus Diamond Flow release fluoride?
No, Venus Diamond Flow does not release fluoride.
8) Does Venus Diamond Flow contain nano particles and if so, what do they do?
Nano particles based on SiO2 are included in the filler system for reduced shrinkage and for improved aesthetic properties.
9) Does Venus Diamond Flow have the same chemistry as Venus Diamond or Venus Pearl?
Venus Diamond Flow is based on the same concept, but does not have the same chemistry as Venus Diamond or Venus Pearl.
10) What is the recommended curing time for Venus Diamond Flow?
Venus Diamond Flow should be cured for 20 seconds (light intensity: >550 mW / cm²). When using plasma light curing units (>1200 mW/cm²), the polymerisation time can usually be reduced by 25%.
11) Is Venus Diamond Flow a composite with low shrinkage stress?
Venus Diamond Flow possesses a combination of high flexural strength and low shrinkage stress. This makes the restoration more resistant and more durable.
12) Does the shade range of Venus Diamond Flow match Venus Diamond and Venus Pearl?
Yes, the Venus Diamond Flow shades perfectly match to those of Venus Diamond and Venus Pearl.
13) What is Venus Diamond Flow Baseliner for?
The Venus Diamond Flow Baseliner forms a bath-shaped floor in the cavity with margins tapering upwards and towards the cavity walls. This rounded shape forms a dense seal with the bonding agent and the composite that is used for filling the cavity completely. The opaque-white colour of the Baseliner makes the cavitiy lining very visible.
No matches could be found. Please try again.
Please enter a valid zip code!