Phone
(800) 431-178510.10.2024
| “The patient is happy with her new smile and the composite integration is correct. The simplified Venus Pearl Pure Shades provide a satisfactory and quick result.” |
| CLINICAL CASE |
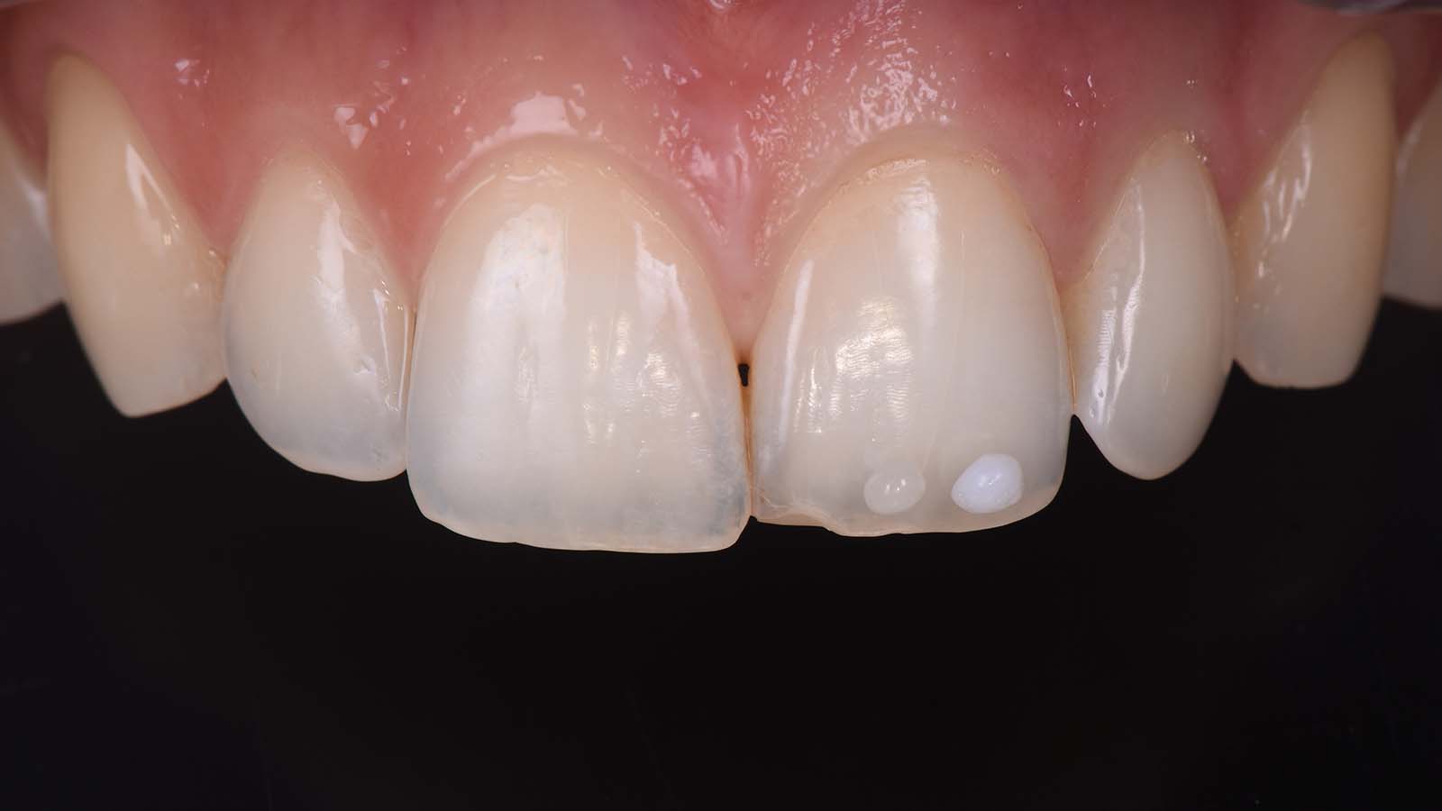
Dr Mokhtari: “The patient came to my office to replace the old composite filling on her upper left central incisor as she didn’t like the shape and the colour of the restoration.
We can observe a difference in length and proportion between the two central incisors. The composite seems too short and the colour of the restoration does not match the rest of the tooth.”
Initial situation:
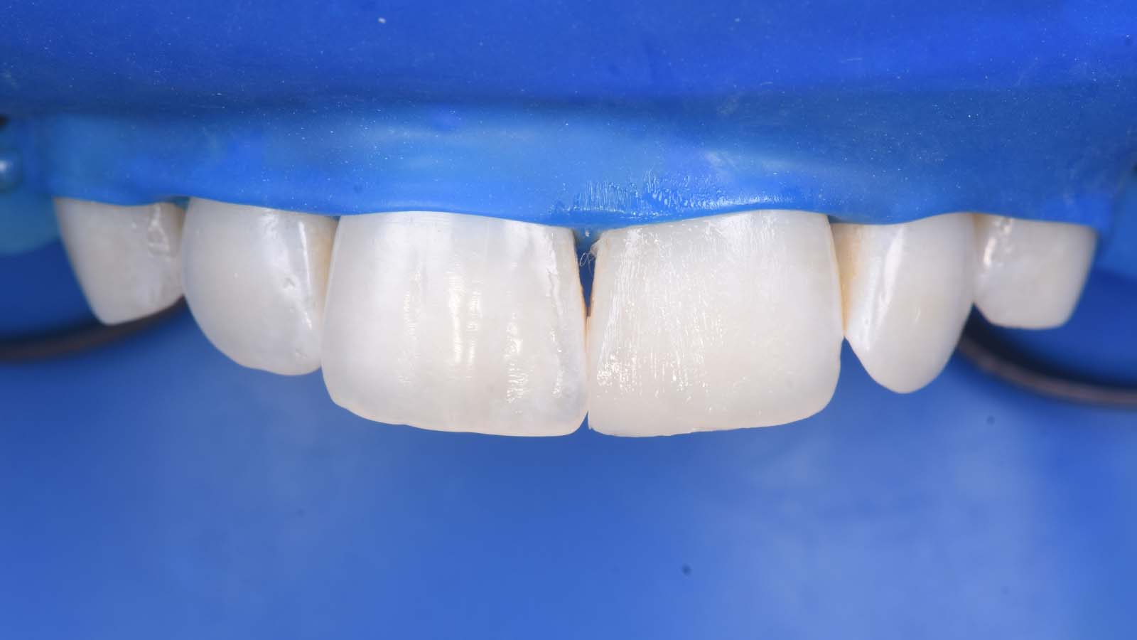
Lateral views of the initial situation.
Selecting the composite shade before setting up the operative field to avoid dehydration of the teeth and shade modification. Venus Pearl LIGHT for monochromatic layering was chosen.
Setting up the operative field with a thick Ivory Rubber Dam. Even though working on tooth 9, we isolated all six anterior teeth to help the operator to respect symmetry and proportions.
After removing the old composite, a chamfer is created to aid light transitioning and shade matching of the new composite with the natural tooth.
Protecting adjacent teeth to prevent the composite from bonding to them during treatment.
Preparing the tooth surface: Etching with iBOND Etch 35 Gel for 20 seconds.
Applying iBOND Universal.
For small restorations, use a transparent matrix held by the operator’s thumb to build up the palatal shell. This simple trick helps to quickly shape a general form that can be refined during polishing.
Close-up view of the palatal shell: the form is irregular but serves as a pattern for building up the composite. Venus Pure Shade LIGHT is used.
Build-up with the simplified composite shade, Venus Pearl LIGHT. The dental brush helps the composite to softly embrace the surface of the tooth and avoid irregularities and bubbles.
The composite build-up is completed. The shape is correct, but finishing and polishing are required for a more natural texture.
Starting the polishing sequence with pop-on discs to correct the form and surface texture. These discs are used on the incisal edge and buccal area of the tooth.
Polishing the composite with the Venus Supra polishing kit: Using the pink pre-polisher in the shape Flame to polish the buccal surface and create reliefs.
Polishing the buccal side with a different shape – the Venus Supra Twist Disc. Starting with the pink pre-polisher …
… and continuing with the grey high-gloss polisher.
Using a strip to polish the proximal areas of the composite. This step is critical to achieve a smooth proximal surface and prevent papilla inflammation.
End of polishing before removing the operative field.
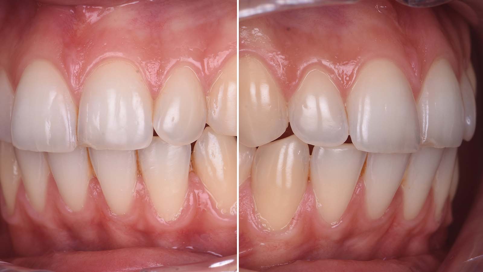
Immediate post-op result after polishing and removing the operative field. The immediate result is satisfying, but rehydration of the teeth is necessary.
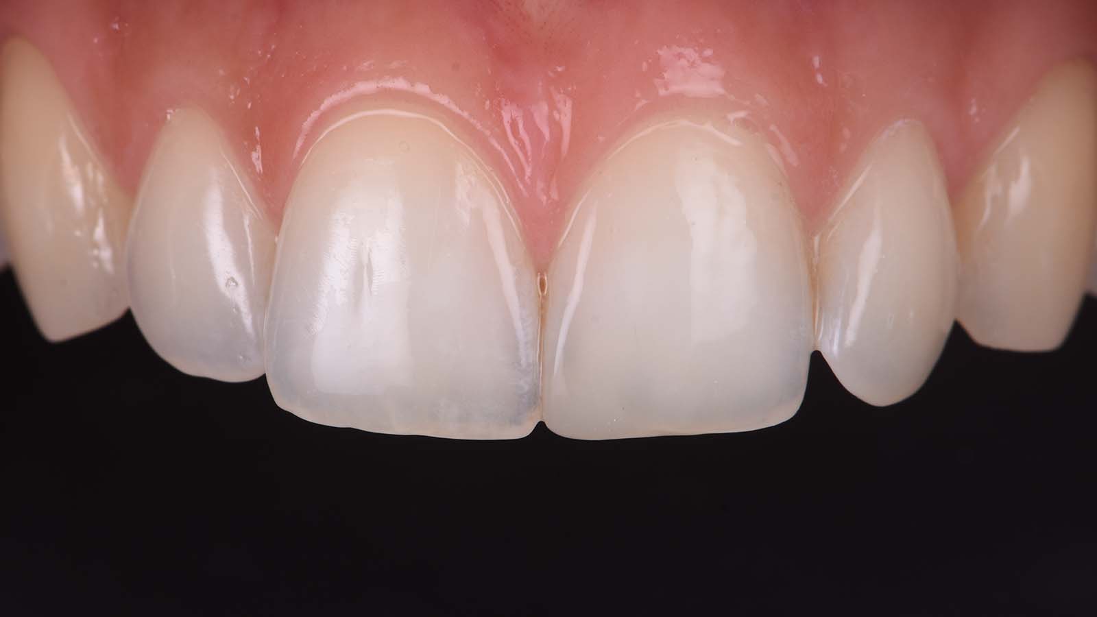
Final result after 1 month. The patient is happy with her new smile and the composite integration is correct. The simplified Venus Pearl Pure Shades provide a satisfactory and quick result.
Used products
Discover the Kulzer products featured in this case and follow the links for more information:
Instructions for use:
Please also refer to the relevant Instructions for Use (IFU) when using the medical devices: Go to IFU portal