Phone
(800) 431-1785
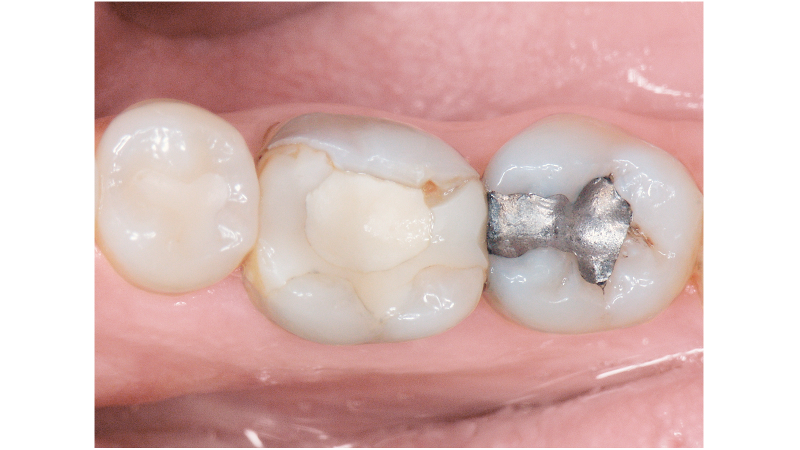
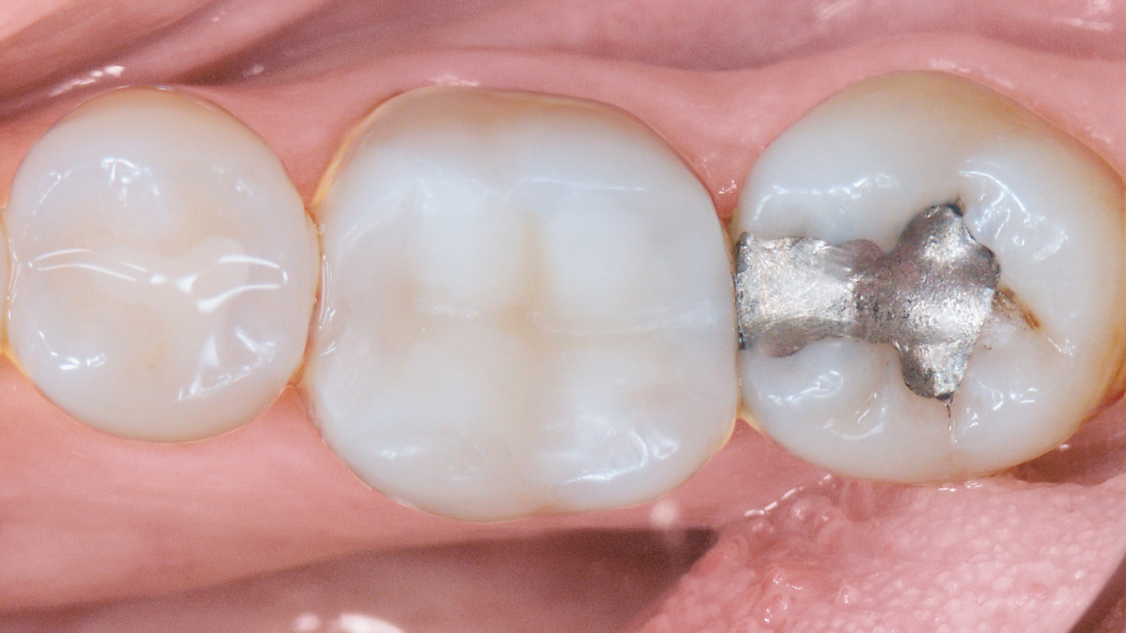
New treatment for inadequate composite restoration in tooth 46 (Venus Flow Baseliner, Venus SBO, OA2, A2)
Clinical pictures: Prof. Dr. C.-P. Ernst, University of Mainz, Germany
1) How should Venus Flow be classified in terms of filler technology?
Venus Flow is an submicron-hybrid composite.
2) Why is not possible to use Venus Flow in more extensive cavities or occlusally-loaded regions?
Due to their composition, flowable composites are not as resistant as standard composites and are less capable of withstanding the stress in the occlusal load-bearing areas of extensive class I or II cavities.
3) Can the Venus Shade Guide be used for Venus Flow?
Yes! As Venus and Venus Flow exhibit the same shades, no separate shade guide is required for Venus Flow.
4) Are the shades of Venus Flow composites matched to the Venus shades?
Yes, all Venus Flow shades were matched to the Venus shades during development. This rules out variations in shade when both products are used for the same restoration.
5) Are Venus Flow composites radiopaque?
Yes, Venus Flow fillings are easily recognised on X-rays.
6) Why is Venus Flow preferred as a cavity liner for use during composite filling therapy?
As Venus Flow is extremely thixotropic, it flows into the cavities homogeneously and effectively. It forms a bath-shaped floor in the cavity with margins that taper upwards and towards the cavity walls. This rounded shape forms a dense seal with the bonding agent and the composite that is used for filling the cavity completely.
7) Is it compatible with other composites and bonding agents?
Venus Flow can be combined with all commercially available (meth)acrylate-based composites.
8) Can brackets also be bonded with Venus Flow?
Thanks to its excellent thixotropy, Venus Flow is very well suited for this indication.
9) What light intensity is required for polymerizing Venus Flow?
Halogen and LED light-curing units must produce at least 400 – 500 mW / cm². When using stronger light-curing units (e.g. plasma light curing units that have an output greater than 1200 mW / cm²), the polymerisation time can be reduced by 25%. Shades A1, A2, A3, A3.5, B2, B3, SB1, T2 and HKA2.5 must be polymerised for 20 sec. Shades A4, OA2 and Baseliner must be polymerised for 40 sec.
10) What is the filler content of Venus Flow?
Venus Flow contains approximately 62 % by weight, or 38 % by volume inorganic fillers such as Ba-AI-F silicate glass and SiO2. The filler particle size is between 0.005 μm and 5 μm.
11) What is the Venus Flow Baseliner for?
The Venus Flow Baseliner acts as a "stress breaker" and forms a bath-shaped floor in the cavity with margins tapering upwards and towards the cavity walls. This rounded shape forms a dense seal with the bonding agent and the composite that is used for filling the cavity completely. The opaque-white colour of the Baseliner makes the cavitiy lining very visible.
No matches could be found. Please try again.
Please enter a valid zip code!