Phone
(800) 431-1785Discover how Venus Bulk Flow ONE provides a fast and efficient solution for restoring teeth in a single shade without additional layering. Follow a clinical case example with Prof. Dr. Claus-Peter Ernst, showcasing the ease of use and exceptional aesthetic and strength properties of Venus Bulk Flow ONE.
Venus Bulk Flow ONE is a new dental composite that provides a single shade bulk filling solution without the need for additional layering. Its flowable consistency makes it easy to handle and its bulk-fill properties allow it to be used in increments of up to 4mm, making it the ideal composite for dentists looking for a fast and efficient restoration process. It also matches any tooth shade from A1 to D4, ensuring a seamless and natural appearance.
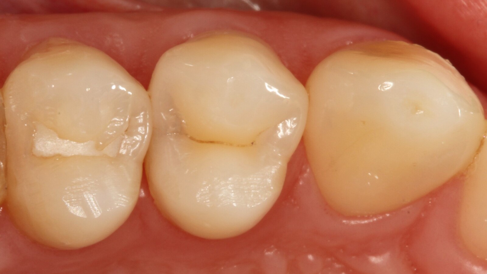
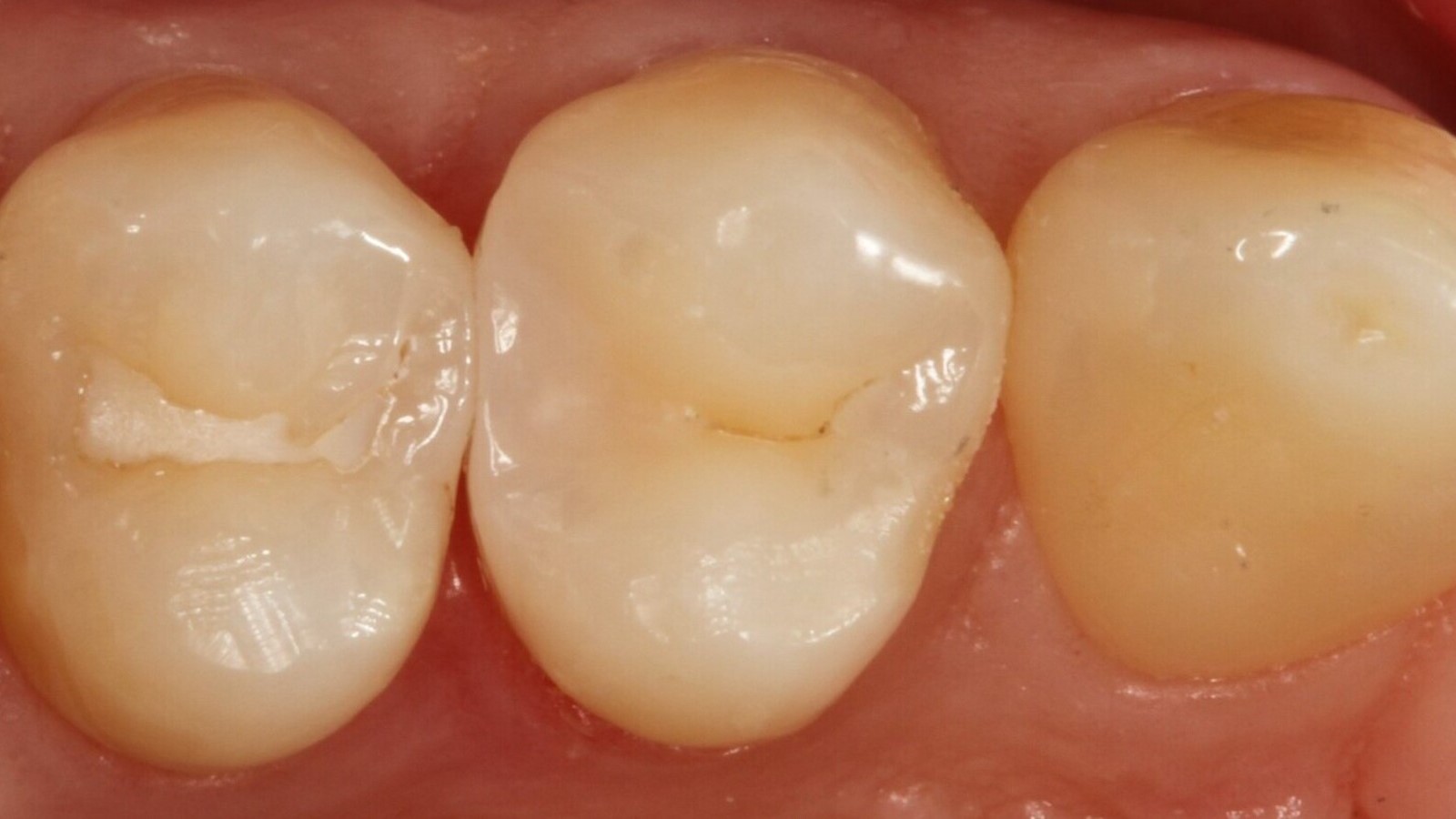
Prof. Dr. Claus-Peter Ernst, dentist and adjunct professor at the University Hospital of the Johannes Gutenberg University in Mainz, Germany, used Venus Bulk Flow ONE to restore a patient's interproximal caries on the distal surface of the first maxillary left premolar. The case illustrates the versatility and ease of use of Venus Bulk Flow ONE, making it an excellent choice for a range of clinical indications, while offering exceptional strength and aesthetic beauty.
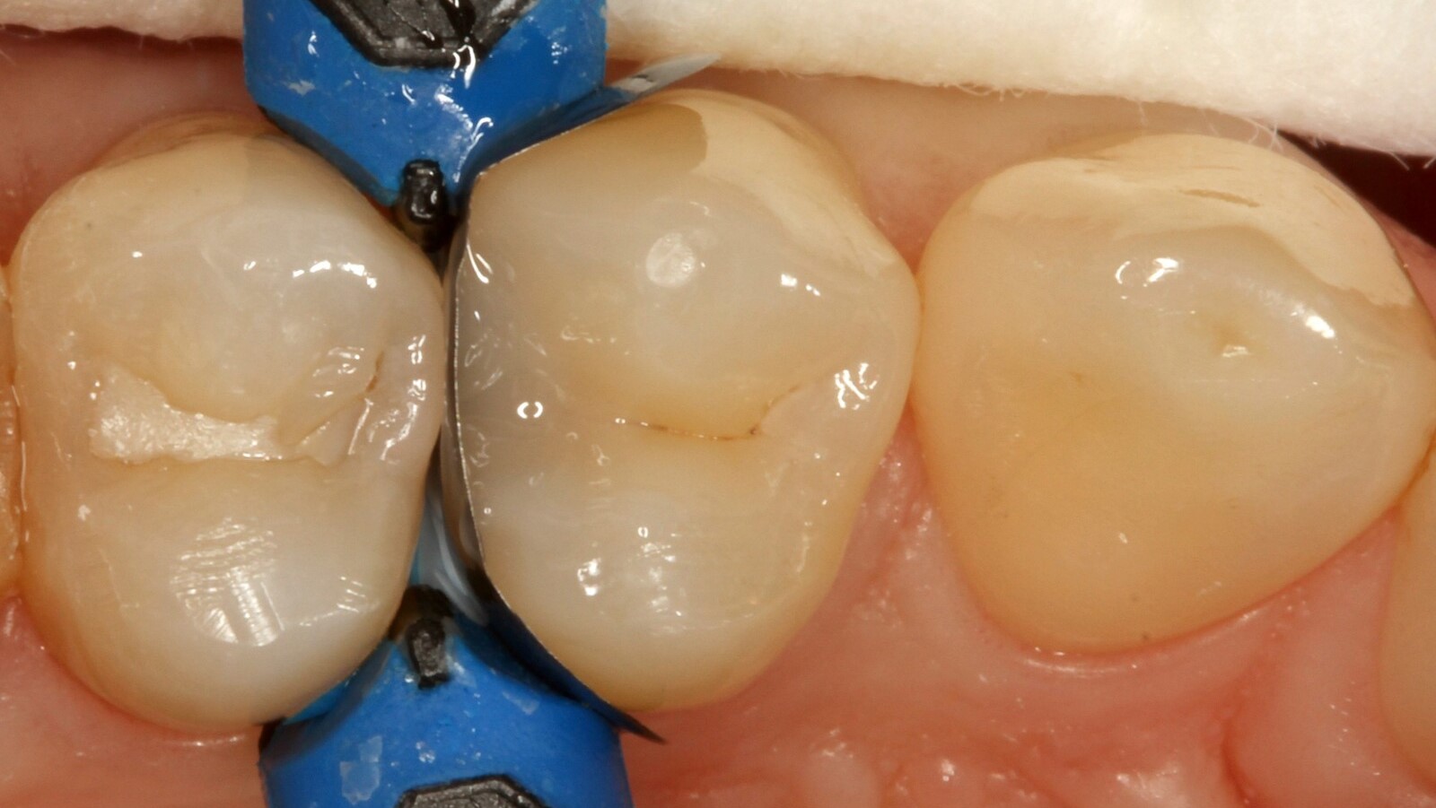
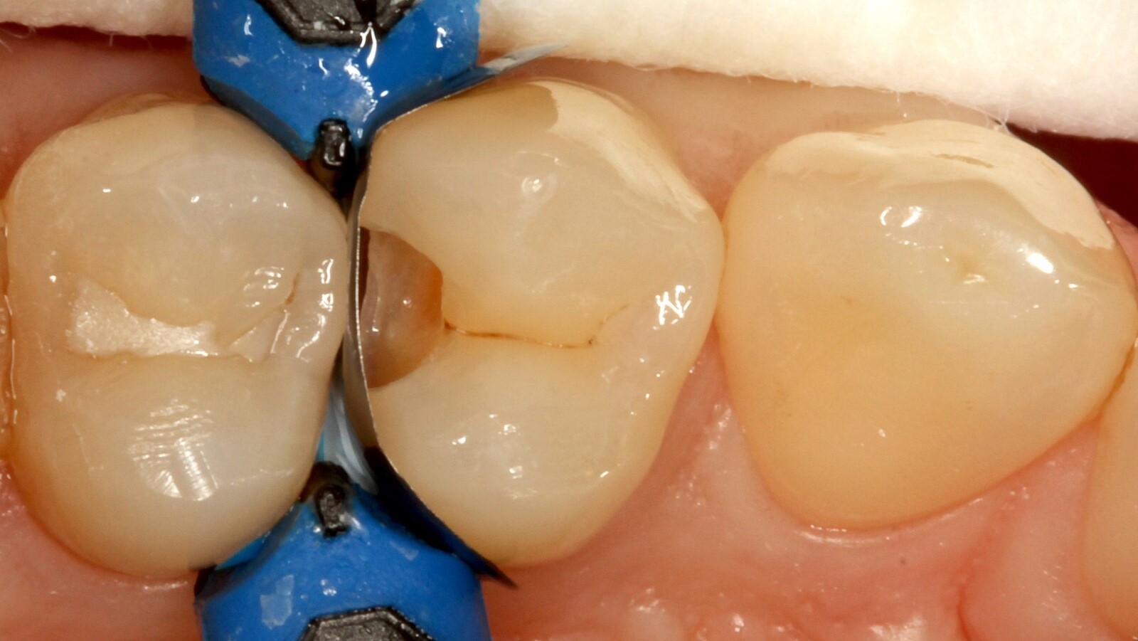
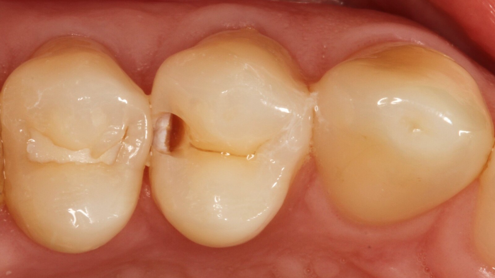
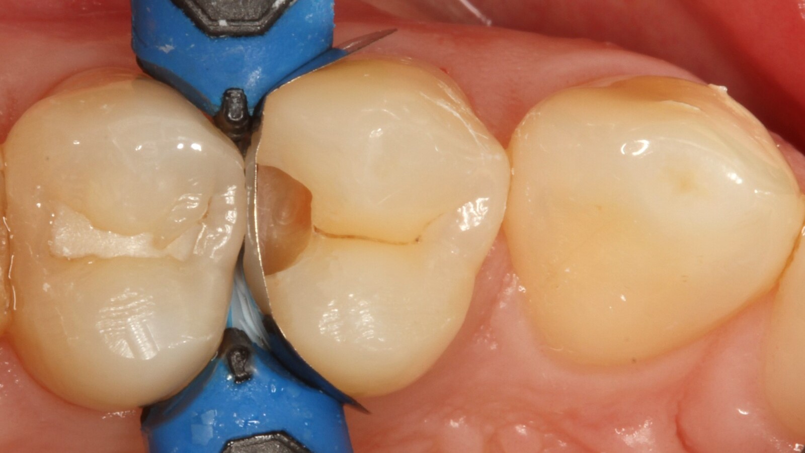
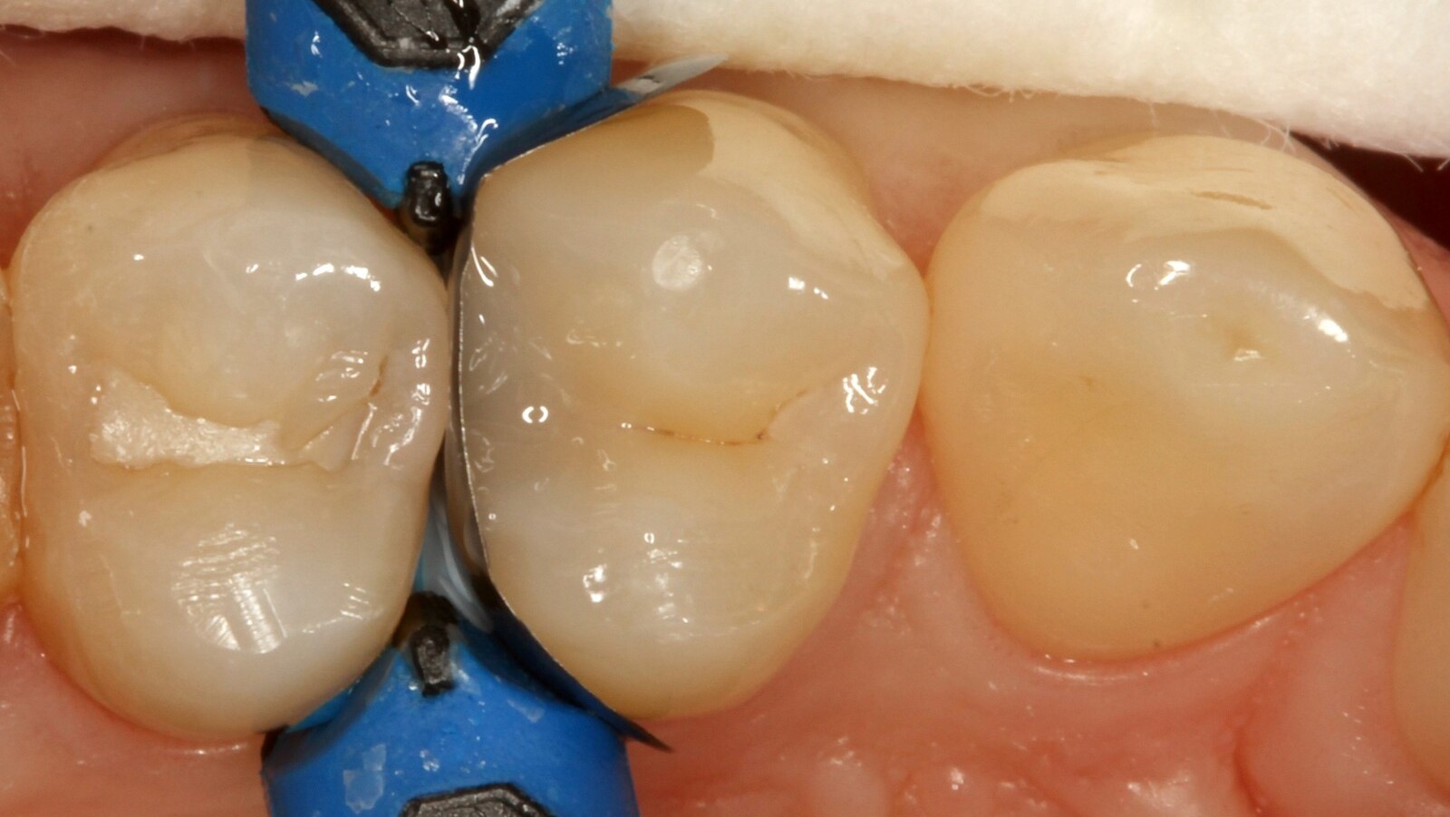
Professor Ernst first identified the hidden caries and opened the carious lesion to show the patient the problem (Fig. 1-2). He then excavated the caries, prepared the cavity and placed a sectional matrix (Fig. 3) before sealing the cavity with adhesive (Fig. 4). In a single step, he filled the cavity with Venus Bulk Flow ONE (Fig. 5). Once the restoration was completed, Prof. Ernst polished it (Fig. 6) and took a control radiograph, which also shows the excellent radiopacity of Venus Bulk Flow ONE (Fig. 7).
Venus Bulk Flow One is a versatile composite with a wide range of clinical indications. It can be used for Class I, II, III and V direct restorations, repair of direct and indirect restorations, first layer lining of Class I and II cavities, splinting of loosened teeth and extended fissure sealing. Its viscosity and controlled flow make it an excellent choice for splinting loosened teeth resulting from trauma or periodontal events. In addition, its ability to provide an extra layer of protection to the tooth surface makes it a great option for extended fissure sealing. Venus Bulk Flow ONE provides dentists with durable restorations due to its low shrinkage stress, high flexural strength and wear resistance.
One of the key benefits of Venus Bulk Flow One is its one-step application process, which saves time and ensures consistent results. This composite does not require layering, making it easy to apply in a single step. Venus Bulk Flow One can be applied in layers of up to 4 mm using the Bulk Filling or Bulk & Body technique. The composite is easy to place due to its low tack and controlled flow. Once placed, the composite can be cured with a light curing unit to complete the restoration process.
The cure depth of Venus Bulk Flow One is up to 4 mm and the cure time is 20 seconds. It is recommended to use a suitable light curing unit (e.g. Translux Wave) that covers a wavelength spectrum of 450-480 nm and emits a light power in the range of 1550-600 mW/cm².
Manager Corporate Communications
Matthias Brehmke